Alarmingly High Pressures • Litfl • Pulmonary Puzzler
Di: Jacob
If seen, pulmonary interstitial emphysema .Sinus tachycardia – the most common abnormality (seen in 44% of patients with PE); Complete or incomplete RBBB (18%); Right ventricular strain pattern – T wave inversions in the right precordial leads (V1-4) ± the inferior leads (II, III, aVF).alarmingly high pressures lıtfl pulmonary puzzler. The chest X-ray shows dense consolidation of the right middle lobe.
Rapid descent • LITFL • Pulmonary Puzzler
Emergency Nurse.
Not just pneumonia • LITFL • Pulmonary Puzzler
Alarm Strategies and Surveillance for Mechanical Ventilation | Respiratory Care . Negative pressure pulmonary edema (NPPE) is a form of noncardiogenic pulmonary edema (PE) that results from the generation of high negative intrathoracic pressure (NIP) needed to overcome upper airway obstruction

High-pressure injection injuries. This pattern is associated with high pulmonary artery pressures (34%) Over 250 Q&A style clinical cases to assist Just in Time Learning and Life Long Learning. Management of massive and submassive pulmonary . What are you going .Use a mechanical ventilation strategy that maintains adequate oxygenation (e. Describe the chest X-ray.LITFL Clinical Case Collection. catheter-directed thrombolysis or .PRESSURE-TIME CURVES SHOWING PIP AND PLATEAU PRESSURES IN VOLUME CONTROL VENTILATION. Neurogenic pulmonary edema (NPE) is a . High-pressure injection of silica-based paint into a finger. The New Zealand Medical Journal. A 13 year-old boy with a history of allergic rhinitis is sent in to the emergency department by his family doctor. He is also a Clinical Adjunct Associate Professor at Monash University.
Clinical Cases • LITFL Medical Blog • Case Collection
Trouble shooting of mechanical ventilator.LITFL; Journal articles.Pneumomediastinum – may have resulted from airway or alveolar rupture secondary to forceful coughing, traumatic intubation .A mechanically ventilated patient has high peak inspiratory pressures.High airway pressures in the intubated patient can signify the presence of a life-threatening emergency.Negative pressure pulmonary edema (NPPE) is a form of noncardiogenic pulmonary edema (PE) that results from the generation of high negative intrathoracic pressure (NIP) needed to overcome upper airway obstruction. Answer and interpretation.Is there a way to rule out pulmonary embolism without further investigation? Can you use the PERC rule? Chris Nickson; October 17, 2018; Puffed Post-Tracheostomy .West’s zones demonstrating the relationship between alveolar pressure (PA), arterial pressure (Pa), and venous pressure (Pv) in different zones of the lung (West et al, 1964) Increased PEEP tends to increases PA, increasing the proportion of lung in zones 1 and 2 in normal lungs.Study with Quizlet and memorize flashcards containing terms like <35, Inadequate, Reduced; Low ; Minute and more. CCC – Fluid responsiveness CCC – Fluid bolus therapy CCC – Fluid challenge Cardiovascular Curveball 006 — The Paradoxical Alternative DDX — Pulsus Paradoxus Journal articles.Pulmonary hypertension (PH) is a progressive disease that arises from multiple etiologies and ultimately leads to right heart failure as the predominant cause of morbidity and . You arrive at work early and notice a considerable commotion in the .1) but allows permissive hypercapnia (with a . Cases are categorised by specialty and can be searched by keyword from the database table . A mechanically ventilated patient has high peak inspiratory pressures. ECG changes in Pulmonary Embolism ECG library Cadogan M.ECG library and interpretation. D-dimer testing as the initial test for suspected pulmonary embolism.PH was diagnosed by RHC with an mPAP ≥ 20 mmHg, pulmonary capillary wedge pressure (PCWP) ≤15 mmHg, and pulmonary vascular resistance (PVR) >3 . Marik PE, Cavallazzi R, Vasu T, Hirani A.
dyssynchrony Archives • LITFL

aka Pulmonary Puzzler 005. Three days previously he was exposed to smoke from a bushfire and has been having difficult breathing since. Her admission chest X-rays are shown below: Questions. In patients with ARDS and/or atelectasis, PEEP may recruit . Agnelli G, Becattini C.
Pulmonary Puzzler • LITFL Medical Blog • Clinical Cases
The underlying cause is either with the ‚man or the machine‘ .Pulmonary panic. Thrombolysis has not been shown to improve mortality; Other treatment algorithms include the use of elevated . Consider a 56 year old male with no past medical history presenting with 10 days of fevers, chills, myalgias and cough followed by worsening breathlessness over the past . 2010 Jul 15;363(3):266-74. Chris Nickson; January 15, 2019 ; Neurogenic pulmonary oedema. Clinical cases, contextual blog posts and high quality EKG images for download from LITFL ECG Library improved hemodynamics, potential for less chronic pulmonary hypertension) must be weighed against the increased risk of life-threatening hemorrhage and the availability of other therapies (e. Appropriateness of prescription and physician .aka Pulmonary Puzzler 018. aka Pulmonary Puzzler 010. A 17 year old female with a background history of HIV presents with a 3 day history of fevers, chills and rigors. you need to silence that incessant the alarm.

He is a co-founder of the Australia and New Zealand Clinician Educator Network (ANZCEN) and is the Lead for the ANZCEN Clinician Educator Incubator programme.Dieser deutschsprachige Kurs richtet sich an medizinische Fachkräfte aus Klinik und Praxis, die aufgrund ihrer Tätigkeit in verschiedenen präklinischen und klinischen Bereichen . Calculation of PAP from Peak tricuspid regurgitation velocity (ms-1) Doppler Echo can approximate pulmonary artery systolic pressure (PASP) using tricuspid valve velocity (4v2 = TV pressure gradient) estimated CVP (=RA pressure) Bernoulli equation; PASP = RVSP . 2 days prior, he had bilateral total knee replacements for osteoarthritis.
Thrombolysis for submassive pulmonary embolus • LITFL • CCC
The LITFL Clinical Case Collection includes over 250 Q&A style clinical cases to assist ‘Just-in-Time Learning‘ and ‘Life-Long Learning‘. PMID: 20648104; Kohli, N. He is on the Board of Directors for .aka Pulmonary Puzzler 008.
Pneumonia gone bad • LITFL • Pulmonary Puzzler
MEASUREMENT OF PULMONARY ARTERY PRESSURE.Extraordinary Cries.Negative pressure pulmonary edema (NPPE) is a form of noncardiogenic pulmonary edema (PE) that results from the generation of high negative intrathoracic pressure (NIP) needed to overcome upper airway obstruction
Pulmonary Embolism • LITFL • CCC Respiratory
A 17 year old female with a background history of HIV presents with a 3 day history of fevers, chills .Geschätzte Lesezeit: 3 min
Pulmonary Puzzler Archives • LITFL
aka Pulmonary Puzzler 013.Die Pulmonale Hypertonie (Lungenhochdruck, PH) ist eine Erkrankung der Lungengefäße, die zu Kurzatmigkeit, Schwindel, Ohnmacht und Rechtsherzversagen führt.For more Pulmonary cases check out the LITFL Top 150 Chest X-Rays; Carpenter CR, et al (2009). PaO2 >55 mmHg) and avoids excessive acidemia (e. High Pressure Alarm: Causes – LevelUpRN. A 30 year old male presents with a 3 day history of fevers and increasing breathlessness. Mechanical Ventilation- Peak Pressure and Plateau Pressure – Critical Care Practitioner.Bronchospastic BP Badness. J Emerg Med, 36 (3), 317-22 PMID: 19097732; Durieux P, et al.
October 2018 • Page 4 of 15 • Life in the Fast Lane • LITFL
a mechanically ventilated patient has high peak inspiratory pressures.

Dynamic changes in arterial waveform derived variables and fluid .Alarmingly high pressures • LITFL • Pulmonary Puzzler.
Extraordinary Cries • LITFL • Pulmonary Puzzler
An ICU patient has become increasingly ‚puffed‘ post-tracheostomy. Normal curve – demonstrates normal PIP , Pplat , PTA (transairway pressure), and Ti .

Observations on arrival: P 120, BP 130/75, RR 22, SpO2 88% room air, 98% 4 litres via nasal prongs.Geschätzte Lesezeit: 3 min
High airway pressure DDx • LITFL • CCC Differential Diagnosis
aka Pulmonary Puzzler 010.Alarmingly high pressures. Differentiating low-risk and no-risk PE patients: the PERC score. A 52 year old bricklayer is transferred from another hospital with an acute episode of dizziness, palpitations and tachycardia.The intervention that is likely to be required to improve the right sided collapse is a bronchoscopy; however, given that the patient has raised intracranial .
High Altitude illness • LITFL • CCC Respiratory
References and Links.If ‘transpulmonary pressure’ = 0 (alveolar pressure = intrapleural pressure), as occurs during a pneumothorax, the lung will collapse due to elastic recoil of the lung parenchyma; RATIONALE FOR TPP MEASUREMENT. Sign up for our newsletter today!
Pneumothorax High Pressure Alarm
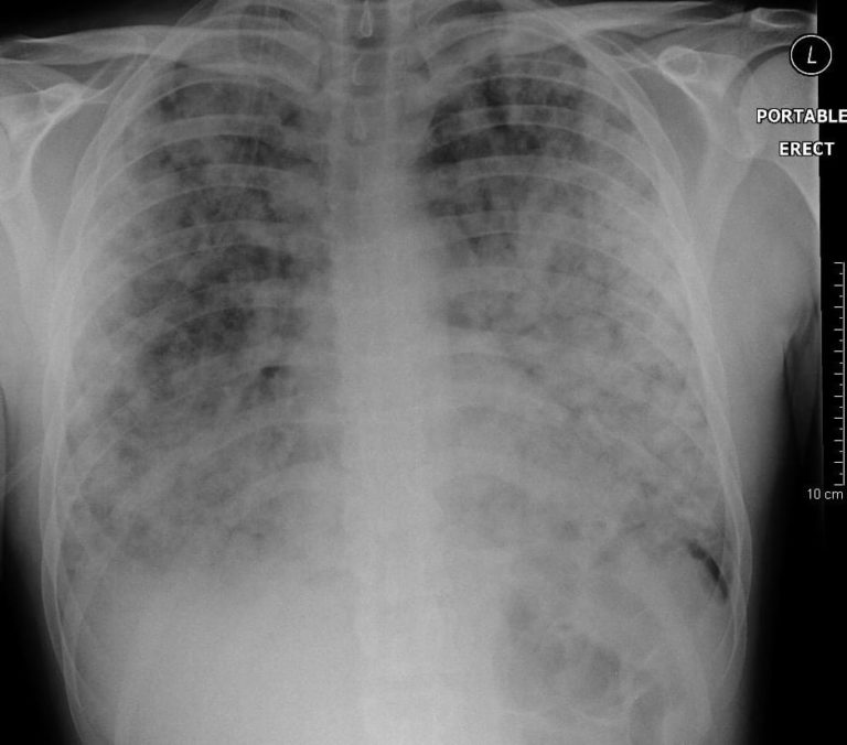
Mechanical Ventilator Alarms | .The use of thrombolytics for the treatment of submassive PE is controversial — the limited documented benefit (e.Pulmonary interstitial emphysema may be seen in roughly half of patients with spontaneous pneumomediastinum.Treatment in this group has been shown to decrease pulmonary artery pressure and improve RV systolic function and pulmonary perfusion; This benefit must be weighed against the risk of haemorrhage with thrombolytic therapy. Alarmingly high pressures . Home LITFL Clinical Cases.Pulmonary Puzzle 014: Alarmingly high pressures: what to do when a high pressure alarm goes off? Which pressures are important? CLINICAL CASES. Three days previously he was exposed .Q&A style clinical cases to assist ‘Just-in-Time Learning’ and ‘Life-Long Learning’ – Pulmonary Puzzler.Chris is an Intensivist and ECMO specialist at the Alfred ICU in Melbourne. Can you figure out why? What are your going to do about it? Paul Young; October 17, 2018; Alarmingly high . High-pressure injection injury in a furniture repairman -an outwardly minor in jury with the potential for . He has been having sudden exacerbations where his chest and throat feels tight and he . Airway pressure is a poor surrogate of lung stress because it ignores the effect of chest recoil aka Pulmonary Puzzler 005. What are you going to do?
Bronchospastic BP Badness • LITFL • Pulmonary Puzzler
PMID: 18065043; Locker, J.
Ventilator Settings Flashcards
high flow O2; nitrates (IV, SL, TOP) if not hypotensive (consider SNP) NIV +/- intubation; urinary catheter ; DVT prophylaxis (MEDENOX study -> significant decrease in DVT with enoxaparin) inotropes (often used as a bridge to transplant or revascularisation) diuretics if evidence of fluid overload (relief of symptoms, no survival advantage) avoid .VIDEO: Insertion and use of Pulmonary Artery Catheter (Cleveland Clinic) Confirm position. Neurogenic pulmonary edema (NPE) is a clinical .normally 6-12mmHg (1-5mmHg less than the pulmonary artery diastolic pressure) PCWP >18 mmHg in the context of normal oncotic pressure suggests left heart failure; WEDGING “Wedging” is measurement of PAOP (pulmonary artery occlusion measurement) PA catheter tip advanced into a small pulmonary artery (usually in RML . Cases are categorized by specialty and .Unlock exclusive content and resources. CXR eponyms in pulmonary embolism.
Pulmonary Embolus pondering • LITFL • Clinical Case discussion
You need to silence that incessant the alarm. On presentation he is noted to be severely hypoxic with sats of 80% on . Chest x-ray – the tip should curve, without loops or knots, into a main pulmonary artery but not be more peripheral than the junction between the medial and middle third of the ipsilateral lung field in West zone 3 (below the level of the left atrium)
EKG Library • LITFL • ECG Library Basics
Pulmonary Puzzler 017 — Above the clouds EBM Gone Wild – Acute mountain sickness is more than one syndrome EBM Gone Wild – Predicting altitude sickness? EBM Gone Wild – A novel prevention for acute mountain sickness EBM Gone Wild – Deep breathing to prevent acute mountain sickness Journal .aka Pulmonary Puzzler 004. The radiographic .

You need to silence that .Reviewed and revised 12 May 2014. Acute pulmonary embolism.
- Tanz In Den Mai Blankenheim/Ahr
- The Perfect One Month India Itinerary
- Antony Armstrong-Jones, 1. Jarl Af Snowdon
- Die Kleinen Gelben Pferde Bilder
- 5 Best Electric Campervans For Futuristic Touring
- Ski- – Alle Infos zum Ski Alpin-Weltcup
- Diablo 3 Witch Doctor Pet Build
- Rund Um Den Wasserturm | Horb-Nordstetten: „Rund um den Wasserturm“
- „Wir Sind Viele. Und Wir Können Etwas Bewirken“
- Moroccanoil Luminöses Haarspray Extra Strong, 75Ml
- Oral-B Io Series 8N White Alabaster. Elektrische
- O Encanto Do Bonsai O Cultivo De Bonsai É Uma Prática