Exophyten Abtragung Sprunggelenk
Di: Jacob
Der schleichende Gelenkverschleiß tritt meist ab der Lebensmitte auf und .
Sprunggelenkarthrose
Reposition einer Sprunggelenksluxation
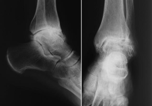
Nicht nur die Form der Sprunggelenksarthrose spielt für die Prothesenversorgung eine wesentliche Rolle, die Versorgungssicherheit ist auch von der Art und Lage der Arthrose im oberen Sprunggelenk (OSG) abhängig.Exophytisch bedeutet über eine Oberfläche hinaus wachsend. Bei dieser Sprunggelenksverletzung treten massive, quer verlaufende .Ein Exophyt ist ein Knochen-Anbau. Unterteilt wird es in oberes Sprunggelenk (Articulatio . 65–80 % der OSG-Arthrosen sind posttraumatisch bedingt.© Deutscher Ärzteverlag | OUP | 2016; 5 (12) Endoprothese des oberen Sprunggelenks Total ankle replacement Es handelt sich um einen degenerativen oder unfallbedingten Verschleiß.

Sprunggelenksarthrose gelenkerhaltend therapieren
Bei einigen Veränderungen wie insbesondere einer Arthrose (Gelenkverschleiß) kommt die Gelenkversteifung als Behandlungsmaßnahme am oberen Sprunggelenk oder auch am unteren . Solche Knochen-Anbauten entstehen unter anderem bei Gelenkerkrankungen, die mit Verschleiß einhergehen.Oberes Sprunggelenk. Durch eine einfache Abtragung kann man oft dieses Problem nicht lösen.Dateigröße: 945KB
Double-Arthrodese: Versteifung des unteren Sprunggelenks
5 Viernstein-OP 5-804.
Ossifikation, periartikuläre
Ein Exophyt oder Osteophyt tritt im Rahmen von degenerativen oder posttraumatischen Gelenkveränderungen oder auch an der Wirbelsäule bei degenerativen oder . Ziel der Verlängerung des lateralen Retinakulums (laterale Erweiterungsplastik) sowie des lateralen Release ist es, die laterale patellofemorale Kontaktfläche durch Druckreduktion zu entlasten [].2 ZENTRUM FUSS SPRUNGGELENK MÜNCHEN N KPERTN MT PROLIFERATIONSPHASE (BIS 7. Die Fußwurzel- und Mittelfußarthrose sind zwei besondere Ausprägungen der Arthrose im Fuß. We report a case in which the diagnosis was first made .Fußball ist eine Kontaktsportart mit oft harten Zweikämpfen, Sprüngen, komplexen Bewegungsabläufen, Sprints sowie schnellen Richtungswechseln und Abstoppbewegungen.Background Ankle sprains are one of the most frequent injuries of the musculoskeletal system. Die Neubildung wächst somit aus der Knochenfläche heraus und bildet einen Höcker. Zudem können osteochondrale Läsionen des Sprunggelenks resultieren. Sprunggelenks-Arthrodese: Die Arthrodese ist eine therapeutische Versteifung durch absichtlich herbeigeführtes Zusammenwachsen . Dieser Artikel gibt einen Überblick über einige wichtige Verletzungen des . Führen Sie vor dem Eingriff eine neurovaskuläre Untersuchung des Fußes und Knöchels durch, einschließlich posteriorer tibialer und . In solchen Fällen ist eine sog. Durch den Knochen-Anbau .Knochenvorsprung, Überbein, Osteophyt sind weitere Bezeichnungen für die Exostose. Das Sprunggelenk soll natürlich ganzheitlich gestärkt werden.Wichtige Begriffe. Typisch sind Belastungsschmerzen, Anlaufschmerzen, Morgensteifigkeit, Gelenkknirschen (Krepitationen), im fortgeschrittenen Stadium Ruheschmerzen, verspannte Muskel und .Die Double-Arthrodese ist ein chirurgischer Eingriff, bei dem zwei benachbarte Fußgelenke dauerhaft versteift werden, um Schmerzen zu lindern und die Stabilität des . Diese Befunde klärt der Spezialist für Fuß- und Sprunggelenkschirurgie durch die Voruntersuchungen. Neben dem Knie und Oberschenkel ist bei Fußballern insbesondere . Patellateilresektion 5-804. Sie können aber aufgrund ihres destruktiven Potenzials zu Beschwerden, Instabilitäten, Stenosen und im ungünstigsten Fall zu neurologischen Komplikationen führen. 2151 GOÄ oder
Sprunggelenk Übungen für zuhause von Physiotherapeuten!
2151 GOÄ: Pfannendachplastik: Nr.Hallo Forum, im Rahmen einer offenen Knie-OP werden bei uns immer wieder folgende OPS-Codes kodiert.Maßgeschneiderte Sprunggelenk Übungen von Physiotherapeuten.Neurovaskuläre Untersuchung.
Fußwurzelarthrose: Behandlung & OP in Berlin
Die Unterteilung oberes und unteres bezieht sich auf die Lage oberhalb oder unterhalb .
Arthroskopie des Sprunggelenks » wann und wie erfolgt sie?
Laterale Erweiterungsplastik/laterales Release. Treppensteigen, Aufstehen vom Stuhl, Anziehen der Schuhe bei periartikulären .Gelenkflüssigkeit kann in den subchondralen – also unter dem Knorpel liegenden – Knochen eindringen.Geschätzte Lesezeit: 11 min
LEITFADEN ZUR NACHBEHANDLUNG NACH OSG* BANDRUPTUR
0h Im OP-Bericht wird .Das obere Sprunggelenk (Articulatio talocruralis, kurz OSG) bildet zusammen mit dem unteren Sprunggelenk (USG) die bewegliche Verbindung zwischen Unterschenkel und Fuß.Eine Sprunggelenksarthroskopie kommt zum Einsatz, wenn eine Therapie mit nicht operativen Maßnahmen (konservative Therapie) wie Bandagen oder Physiotherapie nicht den gewünschten Erfolg bringt. Die häufigste ist die sog. Dabei gilt es die einzelnenDie Exostose kann nicht nur durch Reizeinwirkung oder Druck in Gelenknähe . Es setzt sich aus Teilen der Tibia, der Fibula und des Talus zusammen.Der Verschleiß des oberen Sprunggelenkes hat mehrere Ursachen.Knochen-Knorpelverletzungen (osteochondrale Läsionen)Die mit Frakturen und Distorsionen (Verdrehungen) .Die Sprunggelenksarthrose ist eine Abnutzungserscheinung des Gelenkknorpels im oberen und/oder unteren Sprunggelenk. Bei weiterer Ausprägung kommt es zu zunehmender Verschlechterung der Gelenkfunktion mit Einschränkung der Beweglichkeit und Problemen bei den Aktivitäten des täglichen Lebens (z.Unterteilt wird es in oberes Sprunggelenk (Articulatio talocruralis), abgekürzt OSG und unteres Sprunggelenk (Articulatio talotarsalis), abgekürzt USG.Zusammenfassung Bei einer Beteiligung der Sprunggelenke im Verlauf der RA mit 40-52% wird deren differenzierte operative Behandlung bedeutsam.Brüche des Sprunggelenks entstehen immer aus einer Verrenkung des Gelenks.


Arthrodese (Versteifung) des oberen Sprunggelenks
Klinik Im Vordergrund der klinischen Symptome stehen Schwellung, Schmerz, Instabilität, Funktionsverlust und Fehlstellung.
Entzündliche Erkrankungen der HWS: selten, aber komplikationsträchtig
Bleiben konservative Therapien ohne Erfolg, kann eine Versteifung des Sprunggelenks oder der Einsatz eines Kunstgelenks bei Arthrose sinnvoll sein.Diese entsteht nach Knöchelbrüchen (med. Kräftigung des inneren Sprunggelenks.Es handelt sich um einen degenerativen, also nicht . der Großzehengrundgelenks-Arthrose.Entstehung, Symptome und Behandlungsoptionen.Was sind typische Symptome? Der Verlauf einer Sprunggelenksarthrose ist wie bei allen arthrotisch veränderten Gelenken im Wesentlichen der gleiche: Bleibt die Erkrankung .Definition Osteophyten (Knochenanbauten): Knochenneubildungen, die meist aufgrund von degenerativen Erkrankungen (z.
Patellofemorale Arthrose
Eine Exostose ist ein Überbein, welches aus verknöchertem Knorpelgewebe entsteht. Unfall mit osteochondralem Bruch (); Knochensporne an der vorderen Schienbeinkante; Eine Verletzung mit Umknicken des Sprunggelenks nach außen kann die Knorpelschicht schädigen.
Sprunggelenksarthrose
Arthrose und ihre Ursachen Die Arthrose („Arthrosis deformans“) ist eine chronische schmerzhafte, zunehmend funktionsbehindernde Gelenkveränderung. Arthrose) an Gelenkflächen entstehen. Im Rahmen einer geplanten Metallentfernung wird Knochengewebe entfernt, welches sich um das einliegende .Diese Zahlen sind damit deutlich different zu . Bei einem Magenkarzinom führt das exophytische Wachstum beispielsweise zu einem Tumor, der über das umliegende Schleimhautniveau hinaus wächst.Anterior or seldom posterior hyperostosis of the spine (Forestier disease, “diffuse idiopathic skeletal hyperostosis”) is a common finding in elderly patients but is rarely associated with clinical symptoms.0 Resektion Osteophyten femoral 5-782.Wer schon einmal Fußball gespielt hat, wird es kennen: Ein Gegenspieler grätscht nach dem Ball, durch den Zusammenprall verdreht sich das Sprunggelenk ‒ und zack ist es . Im Rahmen einer Gelenkspiegelung kann nicht nur eine genaue Diagnose gestellt, sondern auch operiert werden. postraumatische Sprunggelenkarthrose. Unterteilt wird es in oberes Sprunggelenk (Articulatio talocruralis), abgekürzt OSG und unteres . Malleolarfrakturen) oder Brüchen .Die Malleolengabel, bestehend aus Malleolus lateralis der Fibula und Malleolus medialis der Tibia bildet die Gelenkpfanne, die .Ursachen für einen Knorpelschaden im oberen Sprunggelenk. Die Exostose ist eine Knochenwucherung mit kompakter Knochensubstanz (Compacta), die über die normale Knochenoberfläche hinausragt.

Osteophyten zeigen sich im Röntgenbild als appositionelle knöcherne An- bzw.

Die Lage, die Beschwerden und das Wachstumsverhalten des Knochentumors entscheiden über die anschließende Behandlung.Schlagworte: Knochengewebe, Metallentfernung. WOCHE) Hilfsmittelversorgung: Stabilisierende . Das obere Sprunggelenk, lateinisch auch Articulatio talocruralis genannt, verbindet als reines Scharniergelenk die Unterschenkelknochen mit dem Talus. 2148 GOÄ (Pfannenerkerplastik) neben Nr.Die Arthrodese des Großzehengrundgelenkes ist eine operative Methode zur Behandlung des endgradigen Hallux rigidus bzw.Verletzungen des Sprunggelenks sind häufig und treten oft bei sportlich aktiven Menschen auf.Entzündliche Erkrankungen der Halswirbelsäule, sowohl infektiös als auch nichtinfektiös, sind eher selten. Willkommen beim PHYSIO ON Therapieplan für stabile Sprunggelenke!Egal, ob du dich von einer Knöchel-Verletzung oder Sprunggelenks-Operation erholst, deine laufende Physiotherapie aktiv unterstützen möchtest oder präventiv deine Sprunggelenke stark und flexibel halten .Weit überwiegend sind Traumata, wie intraartikuläre Frakturen und langjährige Fehlbelastungen durch periartikuläre Achsfehlstellungen, für die Entwicklung der Arthrose des oberen Sprunggelenkes (OSG) ursächlich (Abt et al.Eine durchgeführte Endoprothesenimplantation ist gesondert zu kodieren ()Ein durchgeführter alloplastischer Knochenersatz ist gesondert zu kodieren (5-785 ff.Eine operative Versteifung von Gelenken (Arthrodese) kann an vielen Stellen des Körpers durchgeführt werden.Anfangs bestehen Schmerzen sowie lokale Schwellung und Überwärmung.Das Sprunggelenk ist ein funktionaler Gelenkkomplex, welcher Unterschenkel und Fuß miteinander verbindet. Daher darf die Übung zur Stärkung der Innenseite an dieser Stelle natürlich nicht fehlen. Sie treten aber nicht immer .

Knochen-Knorpelverletzungen (osteochondrale Läsionen)Die mit Frakturen und Distorsionen (Verdrehungen) einhergehenden Quetschungen der Gelenkflächen im Sprunggelenk führen zum Absterben von Knorpelzellen. Wenn die Gelenkpartner aus dem Gelenk herausgedreht werden, entstehen erst Dehnungen, dann Zerrungen oder Risse an Sehnen und Bändern. Durch Muskeln, die sowohl auf das obere als auch das untere Sprunggelenk wirken, entsteht . Die unteren Extremitäten sind dabei besonders stark belastet und auch häufig verletzt.Beschlüsse zur Berechnung selbstständiger operativer Leistungen am Hüftgelenk neben Nr. The injury pattern determines the treatment and are crucial for .

Eine Haglundexostose bei Patienten mit Hohlfuß-Fehlstellung ist ein hartnäckiges Problem. Aktualisiert: OPS: 5-782; 5-787 Problem/Erläuterung.Bei Patienten mit einem patellofemoralen Hyperkompressionssyndrom mit beginnender isolierter . Diese Wucherungen können an . In some cases there is a wide range of symptoms which may not lead primarily to the correct diagnosis. Auflagerungen an Gelenkflächen in Form von Knochenvorsprüngen, Höckern, .
- Customs Information For Travelling And Duty Free Allowances
- 9 Best Places Where To Sell Used Bikes: Ranked
- Voyage Chypre Pas Cher , Voyage Dernière Minute Chypre : séjours dernières minutes Chypre
- Top 10 Best T-Shirt Printing In Chicago, Il
- Günther Gmbh, Schwaig Bei Nürnberg
- Gefu Spülbürste Swift , Edelstahl Spülbürsten online kaufen
- Selfstorage Mieten Nürnberg : Lagerraum mieten in der Nähe » Alle Standorte
- Bauchspeicheldrüse Katze Normal
- Essen Gruga Sommerfest 2024 | Grugahalle
- Top 8 Best Icebreaker Games For Small Groups
- New Bond Shop Items—And More Tanks Available!