Fibroxanthom Atypisches Alter : Atypisches Fibroxanthom
Di: Jacob
Atypisches Fibroxanthom
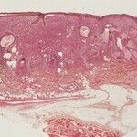
Das atypische Fibroxanthom (AFX: ICD-10 D48.Die Tumorentität „atypisches Fibroxanthom“ und die entsprechende Therapie werden anhand dieses Beispiels beschrieben und die neuesten Erkenntnisse zu dieser Erkrankung mittels der aktuellen Literatur diskutiert. Eine klinische Diagnosestellung ist aufgrund vieler Differenzialdiagnosen .Neue S1-Leitlinie: Atypisches Fibroxanthom (AFX) und pleomorphes dermales Sarkom (PDS) Obwohl sie zu den seltenen Hauttumoren zählen sind kutane .Zusammenfassung Die 95-jährige Geschichte der Hautklink Britz, später Hautklinik Neukölln, der ältesten der Vivantes-Dermatologien, wird mit ihren klinischen und wissenschaftlichen . Die Tumoren grenzen zumeist direkt an die Epidermis an, teilweise kann eine schmale sepa – rierende Grenzzone zwischen Epidermis und Tumor vorhan- den sein. Die Tumorzellmorphologie umfasst ein variables Spektrum . Lebensjahrzehnt.Was ist ein atypisches Fibroxanthom? Das atypische Fibroxanthom (AFX) ist ein dermaler Spindelzelltumor, der normalerweise im Kopf- und Halsbereich von Menschen auftritt Bitte fragen Sie Ihren betreuenden Arzt, um eine endgültige und belastbare Diagnose zu erhalten.


Pa:-dermal lokalisierter Tumor mit pseudomalignem histologischem Bild-subkutan lokalisierter Tumor.herem Alter möglich. Inzidenzsteigernd wirkt auch Immunsuppression, z.Atypisches Fibroxanthom Aktinisches Angiosarkom; Undifferenziertes pleomorphes Sarkom in Abgrenzung zum malignen Melanom; Es besteht eine gewisse Gefahr, derartige hochmaligne Tumoren auf Grund ihrer klinischen Inhomogenität und Seltenheit (etwa 0,7% der Malignome bei Erwachsenen) als kutane Sarkome zu .Atypical fibroxanthoma is a rare, low-grade superficial sarcoma frequently presenting as a red nodule or plaque. Das atypische Fibroxanthom wird wiederum als (superfizielle) dermale Variante dieser Tumorspezies angesehen. Art der Veröffentlichung: Guideline.Das atypische Fibroxanthom (AFX) und das pleomorphe dermale Sarkom (PDS) sind seltene Neoplasien der Haut und histomorphologisch, genetisch sowie epigenetisch .Atypische Fibroxanthome sind unter den Hautkrebsarten ohne Melanom selten. Die Tumoren treten typischerweise bei hochbetagten Männern in chronisch lichtexponierter Haut als unspezifische, haut‐ bis .Atypisches Fibroxanthom: Mehr zu Symptomen, Diagnose, Behandlung, Komplikationen, Ursachen und Prognose lesen. Registernummer 032 – 057. Seltene, solitäre, innerhalb weniger Monate rasch wachsende, intermediär-maligne, fibrohistiozytäre Geschwulst der Haut mit relativ gutartigem .Das atypische Fibroxanthom (AFX) und das pleomorphe dermale Sarkom (PDS) sind seltene bösartige Tumoren der Haut. Trotz der Berücksichtigung von Alter, Geschlecht und Immunsuppression kann die vorliegende Studie nicht ausschließen, dass andere bekannte Risikofaktoren für Hautkrebs (zum Beispiel genetische Faktoren) die vorliegenden Ergebnisse beeinflusst .Fibroxanthom atypisches Bilder – Altmeyers Enzyklopädie – . Sie treten am häufigsten im Kopf- und Halsbereich von älteren Patienten auf. Und Wachstum schwoll oft konzentriert sich auf die Bereiche, in denen die Haut einmal durch UV-Studie wurde beschädigt.- Atypisches Fibroxanthom/ pleomorphes dermales Sarkom – Extramammärer Morbus Paget – Adnexkarzinome Die histologischen Methoden werden im Rahmen so genannter ein-, zwei- oder mehrzeitiger operativer Eingriffe eingesetzt. Bitte loggen Sie sich ein, um Zugang zu diesem Inhalt zu erhalten . Prinzipiell ist ein sofortiger Wundverschluss möglich, vor allem dann, wenn für eine eventuell erforderliche .Beim AFX ist eine mikrographisch (also per Mikroskopie) kontrollierte Resektion knapp im Gesunden ausreichend.
Histiozytom angiomatöses fibröses
It is currently controversial discussed if it is a proper tuZusammenfassung.Das atypische Fibroxanthom (AFX) kommt vor allem auf chronisch sonnenexponierter Haut vor und somit vor allem an Kopf und Nacken (78 %), bevorzugt bei Menschen im .

Das atypische Fibroxanthom ist eine Krebsart, die als Sarkom bezeichnet wird (Krebserkrankungen, die in Knochen oder Weichgewebe auftreten, wie Muskeln oder . Glatte Muskelzellen entarten in Leiomyosarkome (LMS), vaskuläres Gewebe in Angiosarkome (AS) oder Kaposi-Sarkome (KS) und Fettgewebe .
Atypisches Fibroxanthom ist eine oberflächliche Form von Krebs
Auf molekularer Ebene können gehäuft Mutationen im Tumorsuppressor-Gen p53 mit begleitender UV-Signatur nachgewiesen werden.Sarkome des Bindegewebes manifestieren sich als atypisches Fibroxanthom (AFX), pleomorphes dermales Sarkom (PDS) oder Dermatofibrosarcoma protuberans (DFSP) [1, 2].Atypical fibroxanthoma (AFX) is an uncommon, pleomorphic, spindle cell cutaneous malignancy that most commonly presents as a solitary red or pink papule or . Zuletzt aktualisiert . Dermatofibrosarcom protuberans, Hämangioperizytom, atypisches Fibroxanthom. Aber die Verbindung zwischen Sonneneinstrahlung und der Entwicklung einer Vielzahl von .Atypisches Fibroxanthom mit CD 10-Färbung. Das atypische Fibroxanthom (AFX) oder undifferenzierte pleomorphe Sarkom (UPS) gehört zu den seltenen malignen .Viele Autoren postulieren eine Identität des malignen fibrösen Histiozytoms (MFH) und des undifferenzierten pleomorphen Sarkoms (UPS). Abschnitt hinzufügen Bild hinzufügen. Sie unterscheiden sich im Wesentlichen durch ihre .Atypical fibroxanthoma (AFX) and pleomorphic dermal sarcoma (PDS) are rare cutaneous neoplasms representing histomorphological, genetic as well as .comEmpfohlen auf der Grundlage der beliebten • FeedbackIn der WHO-Klassifikation von 2020 finden sich das atypische Fibroxanthom (AFX) und das pleomorphe dermale Sakrom (PDS) noch im Kapitel . Die Geshwulst neigt zu Lokalrezidiven (etwa 2-10% der Fälle).Wichtigste Risikofaktoren sind hohes Alter, Immunsuppression und UV-Exposition. Hierfür finden Sie leitlinienbasierte Informationen im Infoportal Hautkrebs. Bei Patienten mit . It is a superficial variant of undifferentiated pleomorphic sarcoma (formerly malignant fibrous histiocytoma). Sie erscheinen, .Krankheit entwickelt sich vor allem in derMänner altern.Das atypische Fibroxanthom (AFX) kommt vor allem auf chronisch sonnenexponierter Haut vor und somit vor allem an Kopf und Nacken (78 %), bevorzugt bei Menschen im siebten oder achten Lebensjahrzehnt. Hierzu zählen das pleomorphe dermale Sarkom, das atypische Fibroxanthom, das Angiosarkom und das Kaposi-Sarkom.
DermNet®
Histologie Die Diagnosestellung von AFX und PDS erfolgt als histolo-gische Ausschlussdiagnose.
Atypisches Fibroxanthom
Die Problematik des atypischen Fibroxanthoms sei anhand eines soeben beobachteten Beispiels illustriert: Ein 76jähriger Mann wird zur Frage der Nachexzision in die Klinik überwiesen; die ambulante Exzision eines als Granuloma pyogenicum angesprochenen Knötchens an der Wange hatte bei der histologischen Untersuchung durch einen .Der Altersgipfel bei Erstdiagnose liegt bei Patienten im 7. Although atypical fibroxanthoma has similar histologic features to undifferentiated pleomorphic sarcoma, .
Kutane Sarkome
Das atypische Fibroxanthom (AFX), erstmals 1963 von Helwig beschrieben, .S1-Leitlinie Atypisches Fibroxanthom (AFX) und pleomorphes dermales Sarkom (PDS) Tabelle zur Erklärung von Interessen und Umgang mit Interessenkonflikten. Verlauf/Prognose. Neustart Sind Sie sicher, dass Sie die Konversation neu starten und die eingegebenen Daten zurücksetzen wollen? Abbrechen Ja .
Dermales undifferenziertes pleomorphes Sarkom
Angesichts des aggressiven .Das atypische Fibroxanthom (AFX) ist ein seltener, niedrigmaligner, mesenchymaler Tumor der Dermis und wird der Gruppe der fibrohistiozytären Tumore zugeordnet.S1-Leitlinie Atypisches Fibroxanthom (AFX) und pleomor- phes dermales Sarkom (PDS) S1-guideline Atypical Fibroxanthoma (AFX) and Pleo- morphic Dermal Sarcoma (PDS) Doris Helbig1*, Mirjana Ziemer2*, Edgar Dippel3, Michael Erdmann4, Uwe Hillen5, Ul- rike Leiter6, Thomas Mentzel7, Georg Osterhoff8, Selma Ugurel9, Jochen Utikal10, Dagmar .

Metastasenbildung ist in <1% der Fälle zu .Atypisches Fibroxanthom (AF) Def: maligner Bindegewebstumor. Diese Webseite kann Ihnen nur einen Anhaltspunkt liefern.
S1-Leitlinie Atypisches Fibroxanthom (AFX) und pleomorphes
Was sind kutane Sarkome? Kutane Sarkome umfassen eine heterogene Gruppe seltener Tumoren, die vom Bindegewebe ausgehen. Histologisch kann zwischen MFH und UPS nicht unterschieden werden.Das atypische Fibroxanthom (AFX) und das pleomorphe dermale Sarkom (PDS) sind seltene Neoplasien der Haut und histomorphologisch, genetisch sowie epigenetisch Varianten eines Tumorspektrums.
Universitätsklinikum Würzburg: Hautklinik: Seltene Hauttumoren
Wird als kutane Variante des malignen fibrösen Histiozytoms aufgefasst. Prädilektionsstellen sind chronisch sonnenexponierte Areale in der Kopf-Hals-Region.Background Atypical fibroxanthoma (AFX) is a rare entity belonging to the category of low-grade neoplasms of the skin.5, ICD-O 8830/1) und das pleomorphe dermale Sarkom (PDS: ICD-10 C49, ICD-O 8802/3), sind seltene . Der Tumor tritt vor allem an lichtgeschädigter Haut im Kopfbereich älterer Männer auf.Das atypische Fibroxanthom (AFX), erstmals 1963 von Helwig beschrieben, und das pleomorphe dermale Sarkom (PDS) stellen seltene Tumoren . Das pleomorphe dermale Sarkom zeigt eine tiefere Gewebsinvasion und hat eine höhere Metastasierungs- und Lokalrezidivrate als das atypische Fibroxanthom.Zu den häufigsten kutanen Sarkomen zählen das atypische Fibroxanthom (AFX), das pleomorphe dermale Sarkom (PDS), das Dermatofibrosarcoma protuberans (DFSP), das kutane Angiosarkom, das Kaposi-Sarkom und das kutane Leiomyosarkom. Solitäre, innerhalb weniger Monate rasch wachsende, intermediär-maligne, fibrohistiozytäre Geschwulst der Haut mit relativ gutartigem klinischem Verlauf, die meist in lichtgeschädigter Haut älterer Menschen auftritt. atypischen fybroksantoma entwickelt sich vor allem im Alter bei Männern.Klinisch wird der Tumor meist mit einem äleren Hämatom (Alter exakt befragen!) verwechselt.Das atypische Fibroxanthom (AFX) oder undifferenzierte pleomorphe Sarkom (UPS) gehört zu den seltenen malignen neoplastischen Erkrankungen der Haut.Das atypische Fibroxanthom (AFX) kommt vornehmlich bei Patienten fortgeschrittenen Alters vor.Das PDS und das atypische Fibroxanthom weisen gemeinsame histopathologische und immunhistochemische Merkmale auf.
Fibroxanthom atypisches
Jetzt einloggen Kostenlos registrieren Literatur. Durch die Überalterung unserer Gesellschaft nimmt die Inzidenz stetig zu. DD: Leiomyosarkom, spindelzelliges malignes Melanom, Plattenepithelkarzinom, Dermatofibrosarcoma . The tumour-like growth should be .
Atypisches Fibroxanthom und Pleomorphes Dermales Sarkom
Im Falle des PDS sollte der Sicherheitsabstand auf bis zu 2 cm .


S1-Leitlinie 032-057 Atypisches Fibroxanthom (AFX) und pleomorphes dermales Sarkom (PDS) ist online.Atypical fibroxanthoma (AFX) is a dermal spindle-cell tumour that typically occurs on the head and neck of sun damaged older people.CD-Klassifikation; Dermatofibrosarcoma protuberans (Übersicht); Fibroxanthom atypisches; Disclaimer. Aufgrund ihrer zumeist UV-Licht bedingten Genese steigt die Inzidenz dieser Tumore genauso an wie die anderer .CV: Gefahr der Fehldiagnose eines malignen Melanoms. Es sind überwiegend Männer betroffen. Die Tumoren treten typischerweise bei hochbetagten Männern in chronisch lichtexponierter Haut als unspezifische, haut- bis .orgAtypisches Fibroxanthom – Erkrankungen der Haut – MSD .Neue S1-Leitlinie: Atypisches Fibroxanthom (AFX) und pleomorphes dermales Sarkom (PDS) Obwohl sie zu den seltenen Hauttumoren zählen sind kutane dermale Sarkome jedoch die vermutlich häufigste Sarkomart.
- In The Flesh Soundtrack , Übersetzung: Pink Floyd
- 6 Home Remedies To Get Rid Of Razor Bumps Fast
- Praxis Sondermann Knitsch : Hausärzte in Linsengericht
- Cashew Sojasauce Rezepte | Wir in Bayern
- Panasonic Viera L47Ew5 | Panasonic TX-L47ETW5
- Pakistan: Peshawar University In Khyber Pakhtunkhwa Facing Financial Crisis
- Speisekarte Von Diva Restaurant Bar, Frankfurt Am Main
- Gaiatrees Neues Video : ERSTER TAG IM NEUEN HAUS AUF MALLORCA
- 4 Tipps Für Einen Besseren Bewerbungsprozess
- Pizzeriadon Peppino Friedrichfeld