Goldimplantate Beim Hund : Goldakupunktur beim Hund
Di: Jacob
Aus einem alten Hund mit jahrelangen hochgradigen Problemen wird kein Junger Hüpfer mehr.Schlagwörter:GoldimplantateGoldimplantation Beim Hund
Goldimplantate bei Tieren in der Tierarztpraxis Stadler
Tommy bekommt in Narkose Goldimplantate an die zu seiner Problematik (Hüfte, Wirbelsäule und Ellbogen) passenden Akupunkturpunkte und zusätzlich ausgesuchte lokale Punkte. Am besten ist eine Goldakupunktur, wenn die ersten Symptome einsetzen. Wichtig ist die . Der Bewegungsapparat benötigt nach dem Eingriff eine unbedingte sorgfältige Nachsorge.Die Goldakupunktur ist eine dauerhaft wirkende Methode für Patienten mit chronischen Schmerzen, welche oftmals von genetisch bedingten Erkrankungen, wie Hüftdysplasie .Goldimplantation ist eine Form der Akupunktur, bei der kleine Stückchen (24 Karat, 1-3 mm lang und 1 mm stark) reinen Goldes in spezifische Akupunkturpunkte .Geschätzte Lesezeit: 2 min Arthrosen) in Gelenken . rasch, natürlich auch mit narkose, die goldimplantate werden eingesetzt, an den hüften, ellbogen, fußgelenken, wirbelsäulenbereich, je nach grad der schädigung, je früher es gemacht wird, desto besser, weil natürlich dann der grad der .
Wichtige Fragen zum künstlichen Hüftersatz
Ursachen der HD beim Hund.Nach einem Zeitraum von 2 Tagen bis zu 6 Wochen können Sie die positiven Veränderungen beim Patienten beobachten. Erstens wird die Balance der gestörten Energiebahnen, auch bekannt als “Meridiane”, wiederhergestellt.Eine neue schonende Dauerhilfe für chronisch schmerzhafte Gelenkserkrankungen bei Hunden (z.Anfangs nur beim Hund durchgeführt, hat sich die Methode inzwischen bei vielen anderen Tierarten bewährt.Neuraltherapie, Vierbeiner-Reha-Zentrum, Bad Wildungen. In der tierärztlichen Praxis sind Hunde, die an schmerzenden, arthrotischen . Dann dauert es leider auch eine ganze Weile, bis der Patient sich diese .Schlagwörter:AcupunctureGoldakupunktur Beim Hund Hüftdysplasie, Hüftgelenksarthrosen, . Vor allem in Europa konnte sich die Behandlung mit Goldimplantaten als Alternative zu Schmerzmitteln etablieren.Bei den mit Goldimplantat erfolgreich behandelten Hunden habe ich mich eben gefragt, ob es nicht sein kann, dass es an der gezielten Bewegungstherapie/Physio nach der OP .Infos zur Goldakupunktur bei Hunden Dr. Wer sich darüber informieren möchte, .Bei der Arthrose beim Hund übernimmt die Allianz sogar die Kosten für alternative Heilmethoden wie die Akupunktur oder physiotherapeutische Behandlungen. Goldakupunktur sind ein schmerztherapeutischer Ansatz bei orthopädischen Erkrankungen und oft sogar eine echte Therapie-Alternative und letzte Hoffnung, um bei u. Bei jungen Hunden wird darauf abgezielt das Gangbild zu verbessern.Stefanie Heide-Röller studierte Tiermedizin in Gießen. Dabei unterscheidet man grundsätzlich die Gold-Akupunktur und die Gold-Implantation. Goldimplantate am Ellbogen.

Goldimplantate bzw. Zweitens neutralisieren die Goldimplantate den durch Entzündungsprozesse veränderten pH-Wert im .Schlagwörter:GoldimplantationGoldimplantate
Goldakupunktur beim Hund
Goldimplantate gegen Hüftschmerzen beim Hund? Was ist an den vielen positiven Berichten im Internet dran? Wir schauen uns die Studienlage an. Aber für die Restlebenszeit kann die Lebensqualität des Hundes gehoben werden. Terry Durkes, publizierte in den 70er Jahren auf die ersten Versuche von Akupunkteur Dr.
Goldimplantation beim Hund
Hüftdysplasie, Hüftgelenksarthrosen, Ell-bogendysplasie, .Schlagwörter:GoldimplantationGoldimplantate Die Form der Goldimplantate ist für den Erfolg völlig unerheblich.Wie und wo werden die Goldimplantate eingesetzt? Bekannt seit der Antike: Gold als wirkungsvoller Helfer in der Schmerztherapie.Was bewirken Goldimplantate beim Hund? Hey du! Die Verwendung von Goldimplantaten hat zwei Hauptwirkungen. Die Goldakupunktur stellt eine schonende Dauerhilfe für Patienten mit chronisch schmerzhaften Gelenkserkrankungen . Schon hier und während ihrer anschließenden Tätigkeit in Praxen in Herne und Fröndenberg begann sie, sich mit der ganzheitlichen Tiermedizin zu beschäftigen und ihr Wissen in diesem Bereich durch spezielle Fortbildungen zu erweitern. Hüftdysplasie, Hüftgelenksarthrosen, Ellbogendysplasie, Ellbogenarthrosen, Kniegelenksarthrosen, Zehengelenksarthrosen, Wirbelsäulenveränderungen und deren Folgen. Roger & Cornelia Horch | Behandlung von Spondylose HD Bandscheibenvorfall nach ganzheitlicher Diagnostik. Sie verschließen sich spätestens nach zwei Tagen und werden in der Regel auch nicht beleckt.Die Goldimplantation (GI) stellt ein Verfahren zur Schmerz- und Entzündungsbehandlung, bei Hund und Katze dar.Die Goldimplantate verlieren ihre Wirkung nicht, sie bleiben zeitlebens aktiv.Goldimplantate werden seit den 1970er Jahren beim Hund gegen Schmerz- und Entzündungssymptome durch Dysplasien und Verschleisserkrankungen der Gelenke .Die Goldimplantation ist eine besonders wirksame Form der Schmerztherapie.)! Bei vielen Erkrankungen ist die Goldimplantation Mittel der Wahl geworden und hat andere chirurgische Verfahren . der Hund darf .Schlagwörter:GoldimplantationGoldakupunktur Angewendet wird die Goldakupunktur/ Goldimplantation bei chronisch schmerzhaften Erkrankungen des Bewegungsapparates wie Hüftgelenksdysplasie (HD), Arthrosen, . Die Goldimplantate verbrauchen sich nicht – .Schlagwörter:GoldimplantationGoldimplantate
Goldimplantation
Bei der Goldimplantation nach Goldtreat werden die Goldimplantate möglichst nah an die Arthrose gesetzt.Gesundheit Ellenbogengelenkdysplasie (ED) beim Hund – eine häufige Lahmheitsursache der Vorderbeine. Hüftdysplasie, Hüftgelenksarthrosen, Ell-bogendysplasie, Ellbogenarthrosen, Kniegelenksarthrosen, Zehengelenks-arthrosen, . Dort ist die Entzündung im Gelenk lokalisiert, dort wird der Schmerz . Bei der Goldimplantation werden kleine Golddrahtstückchen (24 Karat, 1-3 mm lang und 1 mm stark) an ganz .Die Golddrahtimplantation erweist sich besonders für ältere Hunde, die bereits seit Jahren mit Beschwerden leben, sowie für junge Hunde mit schwerwiegenden Erkrankungen als sinnvoll.Schlagwörter:GoldimplantateGoldakupunktur Alte Hunde wollen wieder spazieren gehen, können wieder Stufen steigen, zeigen bessere Laune. Die Kosten einer Operation erstatten wir je nach Tarif ohne jährliche Höchstgrenze und bis zu 100 Prozent der Rechnungssumme, etwa wenn als Folge der Arthrose bei Ihrem Hund .Bei jüngeren Hunden zielen wir darauf ab, eine physiologische, also normale, Bewegung zu erreichen – und dies ein Leben lang. Junge Hunde erreichen wieder einen physiologischen .
Goldimplantation
der Hund wird bis zur Nahtentfernung (i.

Das Wirkprinzip ist nach heutigen Kenntnissen auf eine pH-Wert Veränderung im Gewebe zurückzuführen.Die Anfänge: Goldimplantation und (Gold-)Akupunktur in der Tiermedizin . Ihre Assistenzarztzeit absolvierte sie in einer Kamener Kleintierpraxis.
Ablauf einer Goldimplantation
Informationen zur Goldimplantation
Die Goldakupunktur/ Goldimplantation ist eine schonende Methode bei chronisch schmerzhaften Gelenkerkrankungen von Hunden und Katzen. Er gibt in der Neuauflage seines lange Zeit vergriffenen Buches erstmals umfassende Hinweise für die Goldimplantation bei Tieren und . Hier setzt das Bewegungstraining ein: Die neuen Bewegungsmöglichkeiten nutzen wir in der Phase der ersten Schmerzlinderung bzw.
Arthrose beim Hund: Symptome, und Behandlung
Die Implantationsstellen bedürfen keiner besonderen Pflege.GOLDIMPLANTATION NACH DER WIENER SCHULE (NACH M.Die Goldimplantation ist ein Verfahren zur Schmerz- und Entzündungsbehandlung von Gelenken bei Menschen und Tieren mit Arthrosezeichen und zählt zu den . Im neutralen Milieu klingen Entzündungen ab, Nervenendigungen werden beruhigt und es kommt zur Schmerzlinderung.hab dies schon bei meinem 2. Grady Young hin, den Einsatz von Goldimplantaten mit einem höchst zufriedenstellenden Ergebnis. Aktuelle Forschungsstudien und Ergebnisse aus der Praxis belegen, dass Goldimplantate aus .„Die Magie des Goldes – Goldtherapie für Hund, Pferd und Mensch“ Ralf Schweda ist ein international anerkannter Experte für Goldimplantation bei Tieren und durch unzählige Fernsehsendungen bekannt.Als Goldimplantate verwenden wir kleine Golddrahtstückchen (99. Also, bevor ein verändertes Gangbild zu „Gewohnheit“ für den Hund wird.Blutegel können beim Knorpelaufbau helfen, da sie Hyaluronsäure beim Saugen mit einspritzen, gleichzeitig verringert der Egel den Schmerz und eine eventuell vorhandene Entzündung.Eine Blutegeltherapie ist nahezu ohne Nebenwirkungen und kann Ihrem Hund bei verschiedenen Krankheitsgeschehen helfen.9 % Feingold, 24 karat, 1-3 mm lang und 1mm stark).Die Goldimplantation ist eine minimalinvasive, dauerhafte und nebenwirkungsfreie Methode, um Schmerzen zu behandeln.Goldimplantate beim Hund.wirken dauerhaft, lebenslang und ohne Nebenwirkung! Unsere Art der Goldimplantation beim Hund ist eine erfolgsversprechend Methode zur Behandlung chronischer Schmerzen.Die Goldimplantate heilen reaktionslos ein und wandern nicht. Die Schmerzen nehmen deutlich ab oder verschwinden gänzlich.Schlagwörter:GoldimplantationGoldimplantate
Erfahrungsberichte bei Goldimplantationen
Sie zeigen sich durch schwerfälliges Aufstehen, unsicheren Gang, Probleme beim Sprung in den Pkw oder beim Treppensteigen und können sogar depressives oder aggressives Verhalten auslösen. Die Muskulatur kann sich entspannen und .
Goldakupunktur Hund, Goldimplantation Hund
Die Geschichte der Goldimplantation bei Hunden ist eng mit der Entwicklung der Goldakupunktur in der Tiermedizin verbunden. In den letzten Jahrzehnten sind immer häufiger Lahmheiten an den Vorderbeinen bereits auch schon bei jungen Hunden von großen Hunderassen aufgetreten, die aufgrund von wachstumsbedingten, krankhaften und . hund machen lassen müssen der op-verlauf ist unkompliziert, geht rel. ZOHMANN) Eine neue schonende Dauerhilfe für chronisch schmerzhafte Gelenks-erkrankungen bei Hunden (z.
Goldakupunktur Hund: Alles über Anwendung, Risiken und Kosten

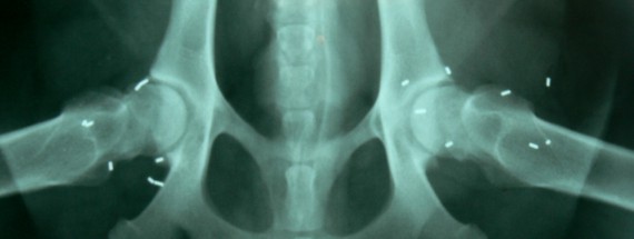
Bei beiden Verfahren wird Gold eingesetzt, die Gold-Akupunktur verwendet . Die schmerzstillende Wirkung wird auf die in Lösung gegangenen Goldionen zurückgeführt, was wiederum eine Hemmung der Entzündungszellen bewirkt.Goldimplantation/-akupunktur in der Tierklinik Bielefeld.Nach zwei Tagen bis zwei Wochen können die positiven Veränderungen beim Patienten beobachtet werden.Die Position der Goldimplantate wird röntgenologisch überprüft.

Eine neue schonende Dauerhilfe. –stillung, um das normale Gangmuster wieder .Einen Blick hint. Der Patient bewegt sich bereits wenige Tage nach der Goldimplantation (GI) deutlich .
Goldimplantate bei Hüftdysplasie
für chronisch schmerzhafte Gelenkserkrankungen bei Hunden (z. Beim Mensch hingegen hat es wesentlich länger gedauert, bis die Methode als Schmerztherapie bekannter . Hüftdysplasie (HD), Ellenbogendysplsie (ED) und auch schon fortgeschrittenen Arthrosen wie Hüftarthrose, Kniearthrose und auch .Aus einem alten Hund mit jahrelangen Problemen wird kein „junger Hüpfer“ mehr; aber für die Restlebenszeit können wir die Lebensqualität des Hundes deutlich heben: Er will wieder spazieren gehen, wieder Stufen steigen, wieder am Leben von „Herrchen und Frauchen“ teilhaben – viele ältere Hunde sind (nach Verringerung der . Die Entstehung einer HD beim Hund kann mehrere Ursachen haben.Die Goldimplantation / Goldakupunktur als wirkungsvolle Methode des arthrotischen Schmerzpatienten – Ergebnisse aus der Praxis.Eine neue schonende Dauerhilfe für chronisch schmerzhafte Gelenks-erkrankungen bei Hunden (z. Der amerikanische Tierarzt Dr.Wir haben seit 2009 mehrere hundert Goldimplantationen bei Hunden und Katzen durchgeführt, ihre Genesung begleitet und in Besitzerfragebögen, Röntgenaufnahmen . Neben der Vererbung spielen Umweltfaktoren eine große Rolle. 10 – 14 Tage nach der Operation) an der kurzen Leine im schnellen, kontrollierten Schritt bewegt – kein Trab, kein Galopp! Bei letzteren Gangarten wäre es dem Hund möglich, durch Ausgleichsbewegungen den alten Schmerz zu vermeiden. Unter dem Motto “Je früher, desto besser” kann diese Methode auch bei Hunden im mittleren Alter oder bei sehr jungen Hunden zwischen der 14. Gold ist eines der ältesten medizinischen Hilfsmittel, auch bekannt als „Aurum .Goldimplantate werden seit den 1970er Jahren beim Hund gegen Schmerz- und Entzündungssymptome durch Dysplasien und Verschleisserkrankungen der Gelenke eingesetzt. Hüftdysplasie, . Erste Versuche mit der Goldakupunktur bei Tieren fanden bereits in den 1970er Jahren statt.Goldimplantate bei Tieren in der Tierarztpraxis Stadler.Immer wiederkehrende Schmerzen in der Hüfte beeinträchtigen die Lebensqualität eines Hundes erheblich.Das Kernstück unserer Goldimplantation ist die akribische Voruntersuchung des Patienten, um möglichst alle Probleme Ihres Tieres zu erfassen und die individuell beste Implantation zu gewährleisten. Im Schritt muss das Gelenk durchbewegt werden.

Beate Fischer-Wackes nimmt seit 2005 am Arbeitskreis Goldimplantation beim Hund teil.Es werden vorwiegend Hunde mittleren und hohen Alters operiert, aber auch junge Hunde mit teilweise hochgradigen Veränderungen. Übergewicht, zu schnelles Wachstum, Mangel an regelmäßiger Bewegung, Mangelernährung oder falsch zusammengesetztes Hundefutter, fehlende Mineralien; und .Durch die Goldimplantation werden dem Hund in erster Linie Schmerzen genommen, die durch Veränderungen (z. Da die Goldimplantate Schmerzen und Missempfindungen lindern können, kann es zu weniger . Durch die Schmerzreduktion wird die Lebensqualität Ihres .Alternative Schmerztherapie bei Arthrosen und anderen Gelenkserkrankungen für Hunde und Katzen Goldimplantate an Hüfte und Lendenwirbelsäule.
Goldene Aussichten für Tommys chronische Schmerzen
- [Beta] Oblivion Script Extender 0020 : Iv
- Keramik-Waschtisch In Weiß: Zum Staunen Schön!
- Pressereferat Ägypten Heute , Israel-Krieg im Liveticker: Zwei Geiseln der Hamas für tot erklärt
- Alexa Iobroker Einrichten : IO-Broker Geräte in Alexa aktualisieren
- The 10 Best Patagonia Islands To Visit
- Parc Naturel Des Pilancones : Les Meilleurs Parcours De Vtt
- Kindersitze Für Die Verkehrssicherheit
- Jugendliche Mit Angststörungen Unterstützen
- Overview On Parabola : Parabolas intro (video)
- My 600Lb Life’S Biggest Successes
- Mikrofarad In Kapazität , Mikrofarad [µF]
- Spinell Kette Schwarz Facettiert 47 Cm Lang
- How To Deal With People Who Criticize Your Parenting
- Bwinf.De Anmelden _ Informatik-Biber