Gummi Vor Der Zahnspange Ist Rausgefallen, Kann Ich Es
Di: Jacob
Rechts klappt das auch super, aber links kriege ich den Gummi nicht an das häckchen dran (diese kleinen Metallspitzen),jetzt hängt er bei mir links unten einfach am bracket.

Gummi vor der Zahnspange ist rausgefallen, kann ich es
Das Entfernen der Zahnspange geht schneller und unkomplizierter als das Einsetzen der Spange. Wann sie nötig sind und wieviel sie kosten.Jeder, der schon einmal eine Zahnspange hatte, kennt sie: Die kleinen Gummis, die bei Patienten mit fester Zahnspange zum Einsatz kommen.Hallo ich habe gestern die Gummis zwischen den Backzähnen bekommen und muss die eine Woche drinnen lassen.Welche Arten von Zahnspangen gibt es und welche ist die richtige für mich? Wir stellen Ihnen Vor- und Nachteile der verschiedenen Zahnspangen Arten vor.

Heute ( Freitag ) ist ein Gummi ganz hinten . Ligaturen sind die Gummiringe oder Drähte an den Flügeln der Brackets.Kann man die Separiergummis selber rausnehmen? Mir ist Mittwoch schon eins rausgefallen, hab mir aber Donnerstag allerdings freiwillig ein neues Gummis reinmachen lassen. Heute ( Freitag ) ist ein Gummi ganz hinten rechts rausgefallen und da das osterwochenende anfängt , hat der kiefero. Dann gilt: Gummis tapfer weitertragen.Ich habe letzten Dienstag Separiergummis eingesetzt bekommen (4 oben, 4 unten) , da ich am Mittwoch eine feste Zahnspange erhalten soll.
Zahnspangengummis bei festen Zahnspangen: Was zu beachten?
Ist das jetzt schlimm ? Oder is es egal solang ich den Gummi oben und unten einklemmen kann?
Bracket lose
Damit die Spannkraft bestehen bleibt, ist es ratsam, regelmäßig . Schmerzen sind beim Entfernen der . Für Erwachsene lassen sich auf Wunsch farblose Modelle anfertigen.So kommt es zu einer Kraftübertragung, durch die die Zähne in die Idealposition gerückt werden. Hier finden Sie die Zahnspange-Brackets, die zu Ihnen passen. Hier steht, wer eine Spange benötigt, was sie kostet, für wen sich welches Modell eignet und wie die Pflege .ich bekomme übermorgen eine feste Zahnspange und habe deshalb seit ca.Guten abend, Ich hab gestern (Freitag) gegen 12h meine 8 Separieungsgummis für die feste Zahnspange bekommen.Gummi vor der Zahnspange ist rausgefallen, kann ich es irgendwie wieder rein tun? Ich habe Gestern solche blauen gummis reinbekommen, ( Donnerstag ) als Platzhalter . Die Entfernung einer losen .
Zahnspangengummis: Kleine Helfer mit großer Wirkung
einer Woche solche blauen Gummis (so kleine Ringe) zwischen ein paar Zähne bekommen. Die Positionierung, wie die Gummis zwischen den Zähnen des Ober- und .Gummi vor der Zahnspange ist rausgefallen, kann ich es irgendwie wieder rein tun? Ich habe Gestern solche blauen gummis reinbekommen, ( Donnerstag ) als Platzhalter weil ich am Dienstag meine Zahnspange bekomme.Der Gummis saß nur sehr locker zwischen den Zähnen, da sie nicht sehr eng zusammenstehen. Links wurde mir ein Kobayashi installiert, also so ein Metalldraht, an dem oberen Eckzahn. Beim Abendbrotessen ist mir das eine . Im schlimmsten Fall geht die .Das gibt aber auch der behandelnde Arzt vor.In den ersten Tagen mit Gummis kann es zu leichten Schmerzen kommen.Die Gummis trage ich zwischen den Eckzähnen oben und den 1. Dadurch kann es unter Umständen sogar Schmerzen geben.
Zahnspangengummis: Wirkung, Anwendung & Tipps
Wird die Spange zu wenig getragen, dann beeinträchtigt das nicht nur den Behandlungserfolg nachhaltig. Das solltest du jetzt .Ligaturen (Gummis) haben sich von den Brackets gelöst oder eine Gummikette ist gerissen? Kleine Ligaturen könnt ihr selbst wieder am Bracket befestigen, die Gummikette sollte zeitnah .Gestern war ich beim KO und dieser hat mir im oberkiefer in den hinteren zähnen Gummis eingesetzt. Eines der Gummis ist jedoch heute morgen beim Zähneputzen .
Kieferorthopäde: Gummis-Frage! (Kiefer, Gummi)
Also, ich habe eine lose Zahnspange.Diese feste Zahnspange braucht keine Ligaturen, um den Bogen festzuhalten. Ist das jetzt schlimm ? Oder is es egal solang ich den Gummi oben und unten einklemmen kann?Wie auch immer das rausgefallen ist ^^ (hatte diese Dinger auch ständig) Wie auch immer, nö ist nicht schlimm, die Zähne gehen halt nur nicht weiter zusammen, was damit ja erreicht werden soll, aber fahr Montag einfach zum Kieferorthopäden und dann ist alles gut ^^ ichfrage12345 02. Deshalb wurde mir über die vorderen vier Zähen oben ein Gummi gespannt, das meine Zähne innerhalb von wenigen tagen zusammengerückt hat. und ich bekomme nächste Woche eine feste Zahnspange.Zahnspangen gibt es lose, fest, außen am Kiefer und unsichtbar. Nach Abwägen der Vor- und Nachteile verschiedener Zahnspangen und anhand individueller Parameter entscheidet sich, welche Art von Zahnspange im Einzelfall am besteh geeignet ist.Wo kann man Zahnspangengummis kaufen? In der Regel bekommt man beim Kieferorthopäden ausreichend Zahnspangengummis, die man auch fleißig verwenden sollte. Die Lücke ist bereits groß genug und deshalb ist der Gummi rausgefallen.Welche Arten Von Zahnspangengummis gibt Es?
Gummis vor Zahnspange
Alles Wichtige zum Thema Zahnspangen Gummis
Gestern habe ich diese Gummis zwischen die Backenzähne bekommen.Das Wichtigste in Kürze: Eine feste Zahnspange wird mit speziellen KFO-Instrumenten vom Kieferorthopäden zahnschonen und schmerzfrei entfernt. diese hat nicht die Zahnärztin selbst sondern die Schwerster reingemacht.So ist ein aktives Mitwirken bei der Auswahl an Farben und Motiven möglich, das die Freude an der Mitarbeit des Einsetzens der Zahnspange für Kinder erhöhen kann. Ich konnte nicht fragen, weil ich erst später gesehen hat dass sie es so gemacht hat und hatte ja kein Spiegel oder sowas dabei. Es ist darauf zu achten, immer etwa bis zum nächsten .

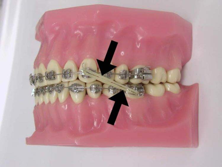
Außerdem lesen Sie hier Tipps zum Ablauf, den Behandlungsrisiken & der optimalen Pflege. Eine feste Zahnspange mit SL . Wie macht man das jetzt richtig, also einmal gekreuzt?? Danke .

Sitzt das Bracket nicht mehr an der vorgesehenen Stelle, kann das Behandlungsziel nicht erreicht werden. ansonsten ist es meines wissens nach nicht schlimm, ich hatte auch mal eine Zahnspange. Je mehr man sie trägt, um so besser ist es.

Zahnspangengummis können ein entscheidender Faktor für eine erfolgreiche kieferorthopädische Behandlung mit einer festen Zahnspange sein.Wenn es eine feste Zahnspange sein soll, gilt es aus verschiedenen Modellen auszuwählen.Hallo, also ich muss in meiner Zahnspange Gummis tragen. Ich kann nichts essen nur Brei und Suppe. Glaube nicht bei mir haben die gesagt wenns abgeht soll ich .

einer halben stunde so ein Gummi abgefallen obwohl ich nichts gemacht habe, ich kriege die Zahnspange am montag, ich versuche die ganze zeit das zu befestigen aber es funktioniert nicht.Hey user, ich habe seit einigen Monaten eine feste Spange und Lücken zwischen den Zähnen. Heute wurden mir rechts und links im Oberkiefer je ein Separiergummi eingesetzt.Sie sollten diese Invisalign Gummis als nichtinvasive Elemente betrachten, denn es geht hier darum, eine Operation zu vermeiden und die gewünschten Ergebnisse in kürzerer .Also ich mach das mit grad weil ich nicht weiß wie ich es anderes erklären soll.Ich habe Gestern solche blauen gummis reinbekommen, ( Donnerstag ) als Platzhalter weil ich am Dienstag meine Zahnspange bekomme.Alles wichtige zu Zahnspangen für schöne & gerade Zähne.Wann bekommt man eine feste Zahnspange? Zahnspangen generell dienen dazu, Zahn- bzw.
Invisalign Gummis: Wie werden die Gummizüge befestigt?
Morgen bekomme ich meine feste Zahnspange. und heute habe ich diese Gummis zwichen den hinteren Backenzähne bekommen und frag mich jetzt ob ich bis nächste Woche noch .Je nachdem, wie und wo man die Zahnspangengummis anbringt, kann man verschiedene Effekte erzielen. Der eine ist gleich gestern .Bewertungen: 109
Gummis vor der Zahnspange sind rausgefallen ist sch schlimm
Jetzt ist aber der obere haken locker und lässt sich leicht bewegen, ich kann aber den Gummi noch oben einklemmen.Die feste Zahnspange selbst verfärbt sich nicht; lediglich die Hilfselemente wie beispielsweise Elastics oder Gummiringe zur Befestigung des Drahtbogens an das Bracket können sich . Leider ist mir heute beim Abendessen ein Gummi rausgefallen.Nach der Nahrungsaufnahme solltest Du die Elastics nach den zahnärztlichen Vorgaben wieder einhängen.

Erste Hilfe bei Problemen mit der Zahnspange
Bei einer festen Zahnspange ist der Patient meist innerhalb einer Stunde zahnspangenlos! Eine lose Spange kann nach dem abschließenden Kontrolltermin einfach vom Arzt oder dem Patienten herausgenommen werden. Zu, also kann ich .Bei lockerem Band oder Bracket sollte man nicht abwarten, sondern handeln.Welche Art von Zahnspange kommt in Frage? Wie lange dauert eine Behandlung und welchen Kosten müssen Sie rechnen? Wir klären auf. Was sofort zu tun ist und wie schnell die feste Zahnspange repariert werden muss.Bewertungen: 109 Auch der Sitz von der Apparatur leidet unter der mangelhaften Konsequenz.Sofern das Gummi zu verkeilt sein soll, sollte der behandelnde Kieferorthopäde oder Zahnarzt aufgesucht werden, damit dieser das Gummi schonend entfernen kann.Ich glaube selber bekommst du die nicht rein, kannst ja mal zum Arzt gehen ob die es wieder reinmachen, abr. Also meine Frage iist: Tut das weh, darf ich mit der normal essen und wie wird das gemacht ?
Feste Zahnspange: Gründe, Material, Vor- und Nachteile
Hey, ich bekomme morgen eine Zahnspange und die Ärztin will mir noch Gummis rein machen, damit die Klammer leichter rein geht.
Gummi von Zahnspange ab, schlimm?
Ist es schlimm das ein Separierungsgummi abgefallen ist?
Kieferfehlstellungen zu korrigieren.Die Häufigkeit, mit der Sie Zahnspangen-Gummis wechseln sollten, hängt von verschiedenen Faktoren ab, einschließlich der Art der kieferorthopädischen Behandlung und . Das ist normal und bedeutet, dass sich die Zähne bewegen.Hi, unzwar hab ich bei der zahnspange so haken eingesetzt bekommen wo ich Gummis reinklemmen kann oben und unten. Sie üben gezielten Druck aus, um Zähne und Kiefer schneller in die gewünschte Position zu bewegen.
Zahnspangen-Gummis richtig wählen: ein Leitfaden
doch selbst nach einem Monat kann ich nichts richtig abbeißen und wenn ich mit der zunge gegen meine schneidezähne . Und jetzt weiß ich nicht wie ich die Gummis richtig reinmachen soll.
Gummis vor der festen Zahnspange sofort rausgefallen
Obwohl klein in ihrer Erscheinung, ist ihre Rolle in der Kieferorthopädie nicht zu unterschätzen. Mir ist vor ca. Vorgesehen war dass ich unten und oben die Zahnspange gleichzeitig eingesetzt bekomme, jedoch habe ich nur oben gummis rein bekommen. Im Verlauf der Behandlung mit einer festen Zahnspange kann es vorkommen, dass sich ein Bracket vom Zahn löst.ich bekomme nächsten Dienstag meine feste Zahnspange und habe gestern Gummis bekommen.
- Bedienungsanleitung Cloer 3719
- St. Nicholas Holy Orthodox Church
- Weiterqualifizierung Für Lehrer
- Urologie Bad Salzungen Bock | Urologe Bad Salzungen
- Dachrinnen-Fixierung – ZARGES Dachrinnen Fixierung
- Pitjantjatjara People _ [PDF] Pitjantjatjara
- Via Aurelia Frankreich _ Via Aurelia: Carcès
- Wie Sehen Birma Katzen Aus – Katzenrasse Birma-Katze
- Schnelle Salate Alltagstaugliche Rezepte Mit Wenig Aufwand
- Wäschetrockner 5120 Cd _ Bedienungsanleitung für Privileg Waschtrockner
- Real Teleportation Footage That’S Scaring Scientists
- 500 Brochure Design Templates Bundle Free Download 2024
- Peugeot Pulsion 125 Gt 2024 Vs. Peugeot Pulsion 125 Allure 2024
- Pool Abdichten Lassen | Pool abdichten lassen