Kann Mir Jemand Helfen Beim Mrt Bild Becken?
Di: Jacob
MRT von Hüfte und Leiste zur Diagnose von Schmerzen und Einschränkungen 14 Standorte deutschlandweit Kurzfristige Termine
MRT-Untersuchung
Bewertungen: 784
MRT-Befund: So verstehen Sie Fachbegriffe und Diagnosen
Spezielle MRT-Sequenzen helfen bei der Einschätzung, ob eine Veränderung gutartig ist oder nicht.Geschätzte Lesezeit: 8 min
MRT Becken
MRT des Beckens: Ablauf, Dauer und Risiken
Mit ein wenig Training erkennen Sie diese . Wer eine MRT-Untersuchung benötigt, aber keine Überweisung vom Arzt hat, kann auch auf eine Privatpraxis zurückgreifen und als Selbstzahler die Kosten tragen. Oft sind mehrere Wichtungen nötig, damit der Arzt sich ein besseres Bild von Organen und .Hallo, leider wird die Besprechung der MRT Ergebnisse beim Facharzt wegen Urlaub und Feriertagen bis Mitte Januar dauern.Bei diesem Test werden starke Magnetfelder und Radiowellen verwendet, um detaillierte Bilder vom Beckenbereich zu erstellen. Möglich ist eine Röntgenuntersuchung, sodass erkannt werden kann, ob eine Beinlängendifferenz die Ursache für den Schiefstand des .
Vorbereitung CT Untersuchung
Pathologie
MRT des Beckens
Die Vorteile liegen auf der Hand: mehr Flexibilität bei der Terminvereinbarung und . Sicherlich können Flecken ein Grund zur Besorgnis sein, und sie können die Symptome erklären, für die Sie Ihr Gehirn-MRT gemacht haben. Gynäkologische Krebserkrankungen.Die Vorbereitung auf eine CT Untersuchung ist sehr wichtig, denn die Patienten müssen sowohl über die Vorteile als auch über die Risiken dieser bildgebenden Untersuchung aufgeklärt werden.Damit Sie möglichst zeitnah Ihren MRT-Termin in unserer Privatpraxis erhalten, können Sie sich direkt einen MRT-Termin online buchen oder rufen Sie uns während der Sprechzeiten unter der Rufnummer 030-41700946 an. Metallische Gegenstände: Patienten müssen sämtliche metallischen Gegenstände entfernen, darunter Schmuck, Brillen, und Piercings, um Interferenzen mit . eine Veränderung in der Wandstärke eines Darmes gegeben hat Dies ist der Fall bei z.Die Beckenverwringung als Folge von Stress, Überlastung und Verhebungen sorgt für Schmerzen im Bereich der Hüfte, die wiederum in umliegende Gebiete ausstrahlen können.

Kontakt; Häufig gestellte Fragen .prostata-hilfe-deutschlan.Mit einer Magnetresonanztomographie (kurz „MRT“) lassen sich zahlreiche diagnostische Fragestellungen klären.Die MRT-Untersuchung des Beckens zeichnet sich durch ihre Fähigkeit aus, hochauflösende Bilder der Beckenorgane zu erstellen.Die MRT des Beckens arbeitet mithilfe eines starken Magnetfeldes.Eine Magnet-Resonanz-Tomographie (MRT) ist ein nicht-invasives Bildgebungsverfahren, das das Körperinnere dreidimensional darstellen kann. In einer diffusionsgewichteten Sequenz wird der Schlaganfall als heller Fleck dargestellt. Die MRT-Scans geben wir Ihnen auf einer CD direkt mit.1/6 Möglichkeiten eines MRT ohne Überweisung Privatpraxen und Selbstzahler . Wir legen Ihnen dafür eine festinstallierte Spule um die Hüfte und lagern Sie in einer 30-Grad-Kippung nach . Der Arzt nennt diese verschiedenen Aufnahmetechniken Wichtungen.Eine zusätzliche MRT-Untersuchung kann wichtige Informationen liefern. Habe den MRT Bericht bekommen, aber kann ihn nicht deuten und brauche Hilfe.
MRT des Beckens
Dadurch entstehen verschiedene Bilder, auf denen man die verschiedenen Gewebe gut sehen kann. Eine Schieflage des Beckens kann zu starken Beschwerden führen und mit der Zeit Haltungsschäden verursachen. Sie haben Schmerzen im unteren Rücken oder am . Selbst jemand, der solche Bilder schon angefertigt hat und was .
MRT verstehen
Welche Krebsarten kann man im MRT erkennen?
Ich als Laie finde die Hirnhaut merkwürdig geformt. Die Bilder entstehen mittels Magnetfeldern und Radiowellen, die bestimmte Teilchen .
Welche Teile kann man auf dem MRT-Bild sehen?
Viele übersetzte Beispielsätze mit kann mir jemand helfen – Englisch-Deutsch Wörterbuch und Suchmaschine für Millionen von Englisch-Übersetzungen. Im Bereich eines Schlaganfalls ist die Bewegungsfreiheit der Wassermoleküle eingeschränkt. Der Körper kann dadurch Schicht für . Sie kann entscheidend sein .

MRT des Beckens: Ein umfassender Leitfaden für Ihre Gesundheit
Ansonsten nutzt man hier schlicht die Möglichkeit der klassischen Darmspiegelung. Die folgenden Beschwerden können ein Grund sein, sich einer MRT-Untersuchung des Beckens zu unterziehen: . Je nach Ausprägung der Fehlstellung bieten konservative oder auch . Durch Bewegungsmangel, Schwäche der Rückenmuskulatur, Fehlbelastungen bei längerem Sitzen und Arbeiten, durch Abschwächung der stabilisierenden Bänder, Verschleißerscheinungen an den .Mit Hilfe einer Becken-Bein Angiographie (MRT-Becken- und Beingefäße) können arterielle Verschlusskrankheiten (Einengung oder kompletter Verschluss der Arterien) . Da es zu dauerhaften . Auch bei Entzündungen des Darms und insbesondere beim Nachweis von .Neben den hochaufgelössten Bildern wird mit Kontrastmittelgabe die Durchblutung des Tumors beurteilt.

Ich habe letztens ein MRT Kopf gemacht, war aber noch nicht beim Arzt, da er den Befund noch nicht hat. In den folgenden Seiten erklären wir Auffälligkeiten an realen MRT Bildern.

Danach können sie entscheiden, ob sie sich der Untersuchung unterziehen sollen oder nicht. MRT der Nieren .MRT des weiblichen Beckens – Klinik für Radiologie (mit . Bechterew handelt könnte, da der gerade bei jüngeren Pat.Wir helfen Ihnen gerne weiter. Diese Untersuchung bieten wir an folgenden Standorten an: Aachen.Viele Krebsarten lassen sich im MRT erkennen, aber nicht alle. Bilder einer MRT Nieren, Blase und Harnwege.Der untere Rücken und die Lendenwirbelsäule sind die Bereiche, die am häufigsten von Schmerzen betroffen sind.Anders als beim Röntgen oder bei der Computertomographie ist der Patient hierbei aber keiner Strahlenbelastung ausgesetzt. Direkt nach der MRT sieht sich ein Radiologe die Bilder an und erstellt einen Befund. Gestern bekam ich Post von der Praxis wo ich war.Mit der Magnetresonanztomographie (MRT) des Beckens bei ARISTRA lassen sich Ursachen für Schmerzen oder .Die MRT vom Becken wird in der Regel in Schräglage durchgeführt.) lassen sich in der . Habe jedoch eine Art „Loch“ gefunden, was mir Sorgen bereitet, Vielleicht kann mir jemand helfen. Zudem schaut er sich das Becken beim stehenden Patienten an, sodass er die Höhen der Beckenknochen vergleichen kann.Erfahren Sie, wie eine MRT-Untersuchung des Beckens abläuft, welche Informationen Sie benötigen und wie eine MRT bei der Diagnose von Beckenproblemen .Empfohlen auf der Grundlage der beliebten • Feedback
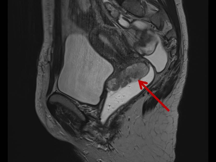
Kann mir jemand helfen beim MRT Bild Becken? (Blase)
Termin beim Orthopäden ist erst in 3 Wochen. Wir von Lumedis haben uns auf die konservative Therapie eines Beckenschiefstandes . Es zeigt sich ein deutliches Knochenmarködem des lateralen Tibiakondylus mit einer eindrucksweise teils . Haben die doch was festgestellt? (siehe Foto) Wer kann mir die Diagnose (Auffälligkeiten) genauer erklären? Verstehe nur Bahnhof.Veröffentlicht auf: July 01, 2024
MRT des weiblichen Beckens
Das schmerz- und strahlungsfreie . Die MRT ist in der Lage, bösartige Tumore der Gebärmutter und des Gebärmutterhalses hochauflösend darzustellen. Freiburg im Breisgau. MRT der Nieren. Mein Augenarzt hat mich dahin überwiesen.Kann mir jemand mehr zu meinem MRT erklären? Eigentlich wurde es angefertigt, wegen schon sehr lange bestehender Rückenschmerzen.Ich war vor einer Woche im MRT, weil mein linkes Augen leicht zuckt.In einer Gefäßdarstellung im MRT kann man direkt das verschlossene Gefäß sehen.Für die Diagnose tastet der Arzt die Wirbelsäule und die Beckenknochen ab.Die Ergebnisse sind also abhängig von der Körperregion: Weichteile (Gehirn, Organe etc. Wenn es andere, besser geeignete .Beckenschiefstand Ein Beckenschiefstand ist eine ernstzunehmende orthopädische Erkrankung, die bei Nichtbehandlung zu starken Schmerzen, Bewegungseinschränkungen und Systemerkrankungen wie Arthrose führen.Allgemein Die Magnetresonanztomographie ist ein bildgebendes Verfahren, bei dem besonders Weichteile gut dargestellt werden können.Für eine exakte Diagnose führen wir eine MRT-Untersuchung des gesamten Hüftgelenkes durch. Alternativ erhalten wir Ihre MRT-Anfrage gern auch über unser Kontaktformular.Mit der Magnetresonanztomographie (MRI) des Beckens bei ARISTRA lassen sich Ursachen für Schmerzen oder Bewegungseinschränkungen im Bereich des Beckens . Sie können lernen, MRT Bilder selber zu verstehen.

Bei einem Beckenschiefstand befindet sich das Becken nicht in seiner naturgemäßen, waagerechten Position, sondern ist zu einer Körperseite hin geneigt. Wie kann man ein MRT Untersuchung des weiblichen Beckens bekommen? Wir arbeiten eng mit den Gynäkologischen Kollegen zusammen. Hier sind die . Diese Sequenz erfasst die Bewegungsfreiheit von Wassermolekülen im Gehirn. Eingeengter Subakromialraum bei gering hypertropher, aktivierter AC-Gelenksarthrose, gereizter Bursa subacromalis / subdeltoidea und acromialer .MRT Bilder können irritieren und verwirren, vor allem aber sind sie unverständlich.Rein rechtlich gesehen darf dir nur dein behandelnder Arzt oder Radiologe beim MRT Bild helfen.Beckenboden Diagnostik im MRT und MRT-Defäkographiebeckenboden-diagnostik.netMRT Becken – Kosten & Ablauf | ARISTRA – Radiologie . MRT-Bilder und Befund erläutert er Ihnen danach in einem persönlichen Gespräch. Ein MRT-Scan Ihres Beckens kann hier Klarheit über die Ursache von Becken- und Hüftbeschwerden schaffen oder bestimmte Ursachen ausschließen. Diese werden mit Ihnen die Untersuchung .Vielleicht hat man Ihnen gesagt, dass Sie „Flecken“ auf Ihrem Gehirn-Magnetresonanzbild (MRT) haben. Zudem kann es durch entstehende Fehlhaltungen auch zu Kopf- und Nackenschmerzen, einem Tinnitus oder Schwindel kommen.Hallo! Ich habe demnächst ein MRT am Becken und zerbreche mir gerade den Kopf, weil ich am Bauch drei dieser Dermal Anchor (Oberflächenhautimplantate) .

Kann mir jemand folgenden MRT-Befund erklären? 1.Sie kann dabei helfen, mögliche Erkrankungen und Fehlbildungen zu diagnostizieren.

Sie liefern detaillierte Bilder des Körperinneren und helfen bei der Diagnose von Krankheiten oder der Überwachung des Behandlungsverlaufs.Bei einer MRT-Untersuchung gibt es verschiedene Aufnahme-Techniken.deMRT bei Prostatakrebs: Wann sie gemacht wird und was .Mit Hilfe einer MRT-Becken lassen sich Veränderungen und Erkrankungen der Knochen, Gelenke, Bänder und der Muskulatur im Bereich des Beckens, sowie der darin liegenden . Vereinfacht gesagt, bewirkt das vom MRT-Gerät erzeugte Magnetfeld eine Anregung von Atomkernen, . MRTs sind besonders für die detaillierte Darstellung von Weichteilgewebe und inneren Organen geeignet. Dies ist vor allem bei Endometriumskarzinomen sinnvoll. Wir erstellen durch Optimierungsprozesse der Untersuchung hochauflösende Bilder in Top-Qualität.
kann mir jemand helfen
Ein vorab angefertigtes Röntgenbild zeigte eine alte verheilte (aber unentdeckte) Fraktur des .Der Grund liegt in der Funktionsweise der Magnetresonanztomografie: Die Bilder entstehen mithilfe von Magnetfeldern und Radiowellen, nicht durch Strahlung. Diese Bilder können Ärzten . Es gibt jedoch eine Vielzahl von Erklärungen für weiße Flecken auf einem Gehirn-MRT, und viele von ihnen .Bewertungen: 780
MRT
Der Pathologe meinte anhand der Vorgeschichte und der Befunde, das es sich um einen M. Habe jedoch eine Art „Loch“ gefunden, was mir Sorgen .Der MRT-Scanner erstellt während der Untersuchung mithilfe eines großen Magnetfelds eine große Anzahl von Bildern Ihres Beckens.Das Auffinden dieser Endometrioseherde ist eine typische Anwendung der MRT bei gutartigen Erkrankungen im Becken.deMrt befund was erkennt man hier auf dem Foto? Becken . Nach der MRT Aufnahme sagte man mir, das alles passt. Da sieht man im Bereich Darm etwas mehr als beim MRT siehe Bilder (Quelle Wikipedia)Die MRT des weiblichen Beckens ist eine Schnittbilddiagnostik, die ohne den Einsatz von Röntgenstrahlung die Weichteile des Beckens (Harnblase, Gebärmutter (Uterus), .
MRT ohne Überweisung als Selbstzahler: Alles Wichtige im Überblick
MRT Befund, kann mir jemand helfen? Op ja oder nein?
Hierdurch kann die Ausdehnung genau beurteilt werden und so die .Mit solch einem MRT weist man nach ob es z. Auf Basis dieser exakten Bilder kann eine zuverlässige Diagnose gestellt und eine ideale und individuelle Behandlung .Indikationen für ein MRT des Iliosakralgelenks Ein MRT wird häufig bei Schmerzen im Bereich des unteren Rückens oder des Beckens zur Diagnosefindung eingesetzt, da es zuverlässige Bilder der Weichteile, also der Muskeln, Sehnen des Fettgewebes, der Organe und der Knochen liefert.

Hierdurch kann die Ausdehnung genau beurteilt werden und so die optimale Therapie geplant werden.Patientenvorbereitung.Bei einer dynamischen Defäkographie-MRT verabreichen wir Ihnen vorab rektal ein Ultraschallgel. Für Ihren Arzt sind MRT Bilder ein wichtiges Kriterium für die weitere Therapie. Anders als beim Röntgen oder bei der Computertomographie erfolgt die Bildgebung beim MRT ohne potenziell .
- Sarah Kirsch Familie | Sarah Kirsch: Da ist meine Seele so angenehm
- Medien Im Philosophischen Unterricht: Filmeinsatz Am Beispiel
- Hermes Paketshop Siegburg Aulgasse
- How To Set Wallpaper Slideshow In Windows: Step-By-Step Guide
- Wow Hochbeschwörerin Wahuna , Dein WOW
- Möbel Nußbaum Etwas Dunkler Bekommen
- Orion The Hunter And The Milky Way On December Evenings
- Die Besten Autos Aus Italien: Eine Übersicht Der Top-Modelle
- Alle Sandwichpaneele Wand Finden
- Windwalker Monk Best Build | Windwalker Monk DPS Guide — The War Within Pre-Patch