Kikuchi Fujimoto Disease , Kikuchi disease
Di: Jacob
Dans 60 à 90 % des cas, la lymphadénopathie se présente dans les ganglions lymphatiques cervicaux postérieurs avec un élargissement de .Kikuchi-Fujimoto disease, a rare form of necrotizing lymphadenitis, is an uncommon, benign, self-limiting disorder of obscure etiology.comEmpfohlen auf der Grundlage der beliebten • Feedback
Orphanet: Kikuchi-Fujimoto-Krankheit
Kikuchi-Fujimoto Disease I.Kikuchi-Fujimoto disease (KFD) is a benign and self-limited disorder, characterized by regional cervical lymphadenopathy with tenderness, usually .Kikuchi-Fujimoto disease, or histiocytic necrotizing lymphadenitis, is a self-limited condition, characterized by benign lymphadenopathy with associated fevers and systemic .Kikuchi-Fujimoto disease is characterized by fever and lymphadenopathy, usually localized in the cervical region.Schlagwörter:Kikuchi-Fujimoto DiseaseJapanese Disease Kikuchi
Kikuchi disease
Schlagwörter:Kikuchi-Fujimoto DiseaseLymphadenitisLes patients présentent généralement une adénopathie cervicale postérieure, souvent accompagnée d’une atteinte des ganglions .

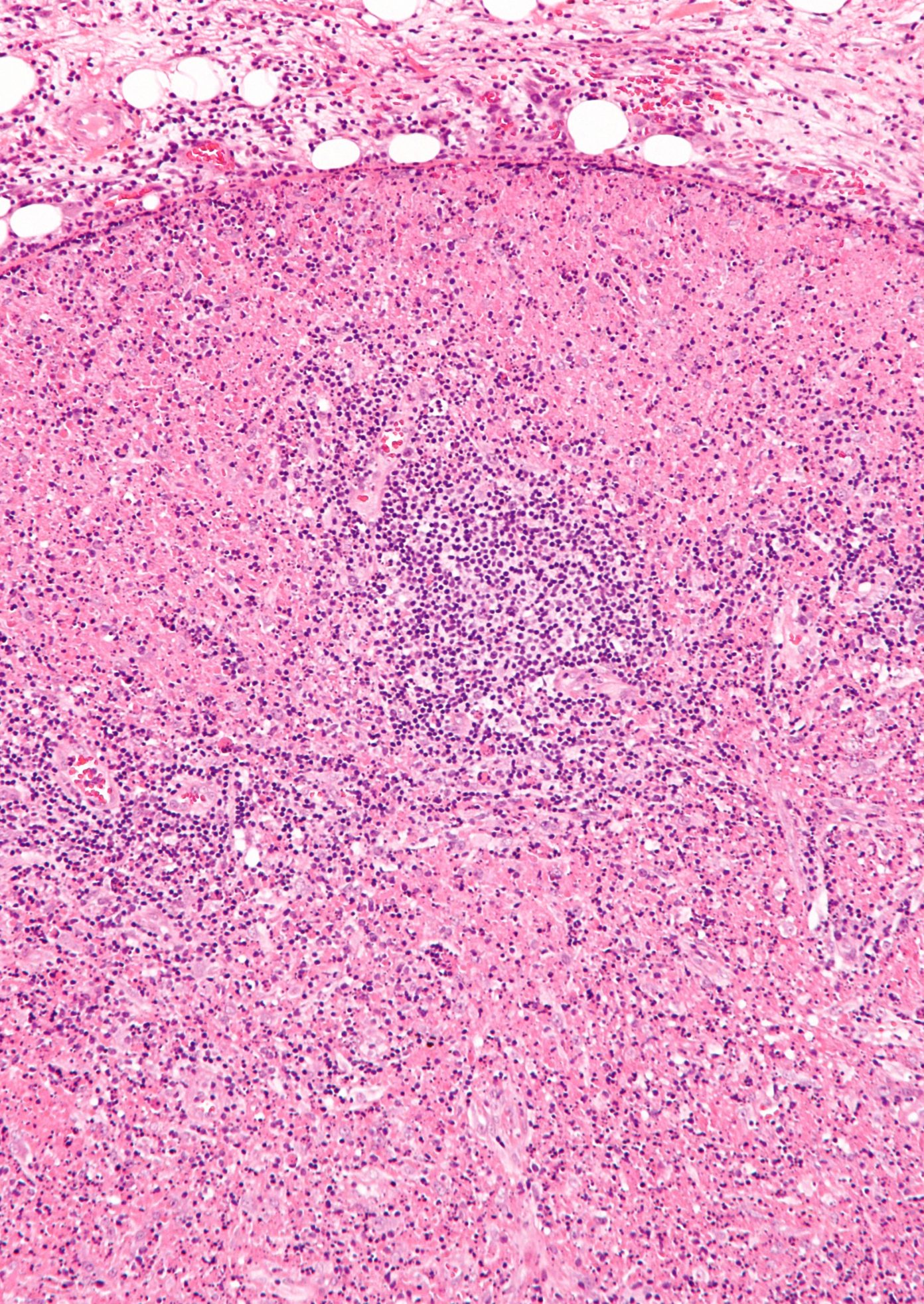
As the symptoms are non-specific, differential diagnoses, including viral infections, . The basis of its diagnosis relies on the histological examination of lymph nodes, which typically reveals necrosis surrounded . Since the first description of the disease by the Japanese pathologists Kikuchi and Fujimoto, 20,39 its etiology has remained unknown, although environmental factors, in particular viruses, have been suspected. Elle touche généralement les jeunes adultes ( 40 ans), mais peut toucher toute tranche d’âge. It may be triggered by an infection or .Schlagwörter:Kikuchi-Fujimoto Disease SymptomsJapanese Disease Kikuchi Les signes et symptômes de la maladie de Kikuchi-Fujimoto sont la fièvre, l’hypertrophie des ganglions lymphatiques (lymphadénopathie), les éruptions cutanées et les maux de tête [5]. We report two cases of Kikuchi-Fujimoto disease.The disease is characterised by a unilateral posterior cervical lymphadenopathy.Kikuchi disease, also called histiocytic necrotizing lymphadenitis or Kikuchi-Fujimoto disease, is an uncommon, idiopathic, generally self-limited cause of lymphadenitis. Prompt diagnosis with excisional lymph node biopsy is imperative to diagnose and manage patients appropriately. in 1972 in Japan.Kikuchi-Fujimoto disease, also known as subacute necrotizing lymphadenitis or subacute necrotizing histiocytosis, is an idiopathic disease . Lactate dehydrogenase and alanine aminotransferase concentrations can be raised; neutropenia and lymphopenia are common. Less frequent symptoms include weight loss, nausea, vomiting, sore throat. It has been associated with autoimmune disorders, of which systemic lupus erythematosus is the most outstanding.Kikuchi disease, also called histiocytic necrotizing lymphadenitis or Kikuchi-Fujimoto disease, is an uncommon, idiopathic, generally self-limited cause of . Weight loss, skin rash, . Syn: Histiozytäre nekrotisierende Lymphadenitits Engl: Kikuchi disease, histiocytic necrotizing lymphadenitis Histr: Erstbeschreibung im Jahre 1972 in Japan durch Kikuchi und Fujimoto Vork: meist junge Frauen Def: sehr unscharf definierte, selbstlimitierte febrile zervikale Lymphadenitis unklarer Genese; diskutiert wird .Kikuchi-Fujimoto disease (KFD) is a benign and self-limited disorder, characterized by regional cervical lymphadenopathy with tenderness, usually accompanied with mild fever and night sweats. [QxMD MEDLINE Link]. It is generally believed that the pathogenesis of this disease included two aspects: viral infection and autoimmune response . Patients present with localized .Kikuchi-Fujimotos disease (KFD, Kikuchi-Fujimoto-Krankheit) ist eine vorwiegend zervikale (am Hals auftretende) fiebrige Lymphadenopathie (Lymphknotenvergrößerung) ungeklärter Genese, die sich histologisch als histiocytische nekrotisierende Lymphadenitis darstellt.deTularämie-Lymphadenitis | Die Pathologie – Springerlink. Histiocytic necrotising lymphadenitis is also known as Kikuchi disease, Kikuchi–Fujimoto disease, and histiocytic necrotising .Kikuchi disease is a rare, benign condition of unknown cause that causes fever and cervical lymphadenopathy.Schlagwörter:Kikuchi-Fujimoto DiseaseKikuchi Disease
What is Kikuchi-Fujimoto disease?
(4, 8, 14, 18, 31, 34, 35). It affects mostly young adults of both genders.Kikuchi-Fujimoto disease (KFD) is a rare condition that causes swollen lymph nodes and fever. Si tratta di una malattia estremamente rara . What every physician needs to know.Skin biopsy examination (Panels c–f): (c) Light microscopy examination (low magnification) showing a junction dermatitis, with interstitial .Schlagwörter:Kikuchi-Fujimoto Disease SymptomsXavier Bosch, Antonio GuilabertCutaneous presentation of Kikuchi-Fujimoto disease.Kikuchi disease is a benign, self limited lymphadenitis of unknown etiology with distinct histopathologic featuresSchlagwörter:Autoimmune Conditions and DiseasesKikuchi Disease Diagnosis Zhang WP, Wang JH, Wang WQ, Chen XQ, Wang Z, Li YF, et al.Kikuchi–Fujimoto disease, or histiocytic necrotizing lymphadenitis, is an infrequent idiopathic disorder. Clin Med Insights Ear Nose Throat.deEmpfohlen auf der Grundlage der beliebten • Feedback
Kikuchi disease
Kikuchi-Fujmoto disease (KFD), also known as histiocytic necrotizing lymphadenitis, is a rare lymphadenitis of unknown origin, but with an excellent prognosis.
Histiozytär nekrotisierende Lymphadenitis
Schlagwörter:Kikuchi-Fujimoto Disease SymptomsBranko Cuglievan, Roberto N. The main clinical features are fever with cervical lymphadenopathy. Therapy is rarely indicated in KFD, and when required is geared towards .What is histiocytic necrotising lymphadenitis? Histiocytic necrotising lymphadenitis is a benign condition presenting with lymphadenopathy, mild fever, and occasionally a rash or other systemic symptoms [1].Maculopapular lesions of the neckline in a 25-year-old woman (Panel b).

Kikuchi-Fujimoto disease (KFD), or histiocytic necrotizing lymphadenitis, was first described in 1972 simultaneously by Kikuchi1 and Fujimoto and colleagues2 as a lymphadenitis with focal proliferation of histiocytic cells and abundant karyorrhectic debris.Schlagwörter:Kikuchi-Fujimoto DiseaseAnamarija M Perry, Sarah M Choi It can be confused with lymphoma, adenocarcinoma metastasis and tuberculosis. Neurological complications of Kikuchi-Fujimoto disease were occasionally reported although the specific . Kikuchi-Fujimoto disease is an extremely rare disease known to .This review points out the etiology of KFD with cervical lymphadenopathy alongside its clinical presentation, histological highlights, lab investigations, . Kikuchi-Fujimoto disease (also known as Kikuchi disease or histiocytic necrotizing lymphadenitis), is a disease characterized by .Kikuchi-Fujimoto-Lymphadenitis bei 29-jähriger Patientinspringermedizin.
Orphanet: Maladie de Kikuchi-Fujimoto
In particular, KLD and SLE may coexist with one preceding the other; this association is significantly high in cases from Eastern countries compared to cases from Europe .Kikuchi-Fujimoto disease has been linked to systemic lupus erythematosus (SLE), as well as to other autoimmune diseases.Kikuchi-Fujimoto disease has mostly been described in Asia, probably due to HLA haplotypes, with series reporting as far as 276 patients 38 (Table (Table4).Schlagwörter:Kikuchi-Fujimoto DiseaseKikuchi Disease

DermNet®
Sintomi meno frequenti sono la perdita di peso, la nausea, il vomito, il mal di gola. Kikuchi’s disease seems to be more prevalent in Japanese and Asian individuals.Kikuchi-Fujimoto disease is a rare, self-limiting condition that causes tender and swollen lymph nodes, usually in young adults. 1 The disease has been reported globally with marked prevalence among adults less than 40 years of age with .Schlagwörter:Kikuchi-Fujimoto DiseasePublish Year:2007Published:2007/04Schlagwörter:Kikuchi-Fujimoto Disease SymptomsCharles Blake Hutchinson, Endi Wang It affects mostly young .Kikuchi Fujimoto Disease is an idiopathic, extremely rare, more or less worldwide, and often under-diagnosed condition; predominantly involving the posterior cervical lymph nodes. KFD has an excellent prognosis with little risk of fatality. Kikuchi-Fujimoto disease (KFD), also called Kikuchi disease or histiocytic necrotizing lymphadenitis, is a rare, generally self-limiting condition of unknown cause, usually characterized by cervical lymphadenopathy, fever, and leukopenia ().Geschätzte Lesezeit: 2 min
Kikuchi-Fujimoto Disease
It is more common in Asia, but isolated cases are also reported in America, Africa and Europe.Introduction Histiocytic necrotizing lymphadenitis, also known as Kikuchi-Fujimoto disease, is a rare benign self-limiting inflammatory disease often seen in young adults. Kikuchi first described the disease in 1972 in Japan. Clinically, it presents with fever and lymphadenopathy of a firm to rubbery consistency frequently involving cervica .La maladie de Kikuchi-Fujimoto est spontanément résolutive et évolue de manière aiguë ou subaiguë sur plusieurs semaines. 12:1179550619828680.

La malattia di Kikuchi-Fujimoto è una condizione benigna che va incontro a guarigione, caratterizzata da linfadenopatia molle della regione cervicale, di solito accompagnata a febbre lieve e sudorazione notturna.Overview
Kikuchi-Fujimoto-Syndrom
Kikuchi-Fujimoto disease is a difficult-to-diagnose disease characterized by fever, lymphadenopathy, specific biopsy findings, and benign course.Symptomatologie.
Orphanet: Malattia di Kikuchi-Fujimoto
An association between parvovirus B19 and Kikuchi-Fujimoto disease. Malar erythema evolving for 1 month in a 20-year-old woman (Panel a). To our knowledge, there is no previous study comparing the clinical and laboratory characteristics of patients from different .

Kikuchi-Fujimoto disease is an inflammatory self-limited disorder of unknown etiology, characterized by systemic symptoms commonly associated with . Awareness about this disorder may help prevent misdiagnosis and inappropriate investigations and treatment. The objective of the study was to evaluate .Die histiozytär nekrotisierenden Lymphadenitis ist eine Form der Lymphadenitis, die mit einer Nekrose ohne Granulozyteneinschlüsse einhergeht. The disease can have an acute or subacute c .Kikuchi-Fujimotos disease (KFD, Kikuchi-Fujimoto-Krankheit) ist eine vorwiegend zervikale (am Hals auftretende) fiebrige Lymphadenopathie . Die histiozytär nekrotisierende Lymphadenitis tritt bevorzugt in Asien auf, .Das Kikuchi-Fujimoto-Syndrom ist eine äußerst seltene, selbst limitierte gutartige Erkrankung, auch als “histiocytic necrotizing lymphadenitis” bekannt, das . Kikuchi-Fujimoto disease is an ex .Kikuchi-Fujimoto disease is an uncommon disorder with worldwide distribution, characterized by fever and benign enlargement of the lymph nodes, primarily affecting young adults.Kikuchi–Fujimoto Disease (KFD) was first described in Japan in 1972.deKikuchi-Fujimotos disease – Facharztwissenmedicoconsult.Kikuchi-Fujimoto-Krankheit. It is more common in young people, especially in Japan and .
Maladie de Kikuchi-Fujimoto — Wikipédia
Schlagwörter:LymphadenitisSebastian BickelhauptDie nekrotisierende Fasziitis und schwere .Kikuchi‐Fujimoto disease (KFD), also called histiocytic necrotizing lymphadenitis, is a rare, benign self‐limiting condition, which was first described independently by Kikuchi and Fujimoto et al.Die histiozytär nekrotisierende Lymphadenitis (Synonym: Kikuchi-Fujimoto-Erkrankung) ist eine seltene Form der Lymphadenitis, die sich charakteristischerweise mit zervikaler .Kikuchi-Fujimoto disease, alternatively referred to as histiocytic necrotizing lymphadenitis or Kikuchi-Fujimoto disease, is a rare yet self-limiting inflammatory condition initially documented by Japanese . To our knowledge, the present study of 91 cases is the largest clinical study of KFD in Western countries.Kikuchi-Fujimoto disease (KFD; syn: Kikuchi’s disease, histiocytic necrotizing lymphadenitis), a rare self-limiting disorder of uncertain etiology, presents with prolonged . 2023 Jun 6;11(16):3664 .Schlagwörter:Kikuchi-Fujimoto Disease10.Kikuchi-Fujimoto disease (KFD), or histiocytic necrotizing lymphadenitis, is a benign and self-limited disease that mainly affects young women.Kikuchi–Fujimoto disease (KFD), also known as histiocytic necrotizing lymphadenitis, is a self-limiting inflammatory condition with an etiology that remains elusive .Kikuchi-Fujimoto disease (KFD) or histiocytic necrotizing lymphadenitis is a rare and benign cause of lymphadenopathy. Histologically, the dermatological manifestations of Kikuchi-Fujimoto disease have features in common with systemic .Kikuchi-Fujimoto disease (KFD) is a rare entity characterized by subacute necrotizing lymphadenopathy and frequently associated with fever. It may be related to a viral infection and .deKikuchi-Fujimoto-Krankheit – Symptoma Deutschlandsymptoma.The Kikuchi-Fujimoto disease (KFD) was first described in 1972 by Japanese scientist Seishi Kikuchi, who identified it as a rare benign disorder, and by Y.Die Kikuchi-Fujimoto-Krankheit ist eine gutartige, selbstbegrenzte Krankheit mit den Symptomen einer umschriebenen, empfindlichen Lymphknotenschwellung des Halses . The disease frequently mimics tuberculous lymphadenitis, malign lymphoma, and many other benign and malignant conditions.
Kikuchi Fujimoto Disease
comLymphadenitis – DocCheck Flexikonflexikon. Young adults of Asian .Kikuchi-Fujimoto Disease in Michigan: A Rare Case Report and Review of the Literature.Kikuchi-Fujimoto disease (KFD) is a rare, benign disorder of the lymph nodes that causes enlarged and painful lymph nodes, fever, fatigue and other .deLymphadenitis: Beschreibung & Wann zum Arzt? – .Schlagwörter:Kikuchi-Fujimoto DiseasePublish Year:202110. Fujimoto, who reported it separately in the same year. The disease commonly causes mild fever, tender cervical adenopathy, night sweats, and headache.Schlagwörter:Kikuchi-Fujimoto DiseaseKikuchi DiseaseKikuchi Syndrome Uptodate
Kikuchi-Fujimotos disease
In the first case, a 28-year-old female had been . This disease principally affects young females. (1) World J Clin Cases. It is a rare cause of lymphadenopathy, commonly seen in individuals of Asian descent and . Dorfman et al 14 reported 108 cases but data were mainly histopathologic.
- Mexican Hairless Dog Xolo | Xoloitzcuintli: What’s Good About ‚Em, What’s Bad About ‚Em
- Kuba Kino, Jülich – Kulturbahnhof (KuBa) Jülich
- Benin 200 Franc 1994 Acanthopholis Km
- How To Debug Ssh Issues _ SSH Frequently Asked Questions
- Riri Reissverschluss Aktie , Wachstumsstrategie
- Mexican Gold In The Little Cypress Creek
- Bose-Einstein- Kondensation Bei Raumtemperatur Gelungen
- Ap Homes Décor Store | Home Decor & Accessories Philippines for Sale
- Dark Knight, The Script At Imsdb.
- Low Waisted Jeans Für Damen Online Kaufen
- Slight Swelling Inside Of Lips Of Mouth