Nasenhöhlentumor | Nasennebenhöhlenkrebs
Di: Jacob
Der am weitesten kaudal . Ihre unmittelbare Nachbarschaft zu . Sie umfasst Vorsorge, Erkennung und Behandlung von Erkrankungen, Verletzungen, . Die wichtigsten Formen des weißen Hautkrebses sind das Basalzellkarzinom und das Plattenepithelkarzinom.Das sind die Ursachen von Nasenkrebs.Das invertierte Papillom ist ein primär benigner, destruktiv wachsender Tumor und der häufigste Typ sinunasaler Papillome.Die Nasenhöhle bildet den inneren Raum der Nase. In diesem Kapitel werden sowohl Tumoren der Nasenhaupthöhle als auch der Nasennebenhöhlen .

Akute oder chronische Nebenhöhlenerkrankungen gehören zu den häufigsten Krankheiten in der Bevölkerung.Nasennebenhöhlenkrebs ist eine Krebserkrankung der Nasennebenhöhlen, die in der Regel in den Kieferhöhlen und Siebbeinhöhlen auftritt.3: Hund mit Nasenhöhlentumor und metastatischen mandibulären und retropharyngealen Lymphknoten, welche in einem separaten Feld bestrahlt werden. Der schwarze Hautkrebs wird auch malignes Melanom genannt. Es gibt verschiedene Faktoren, die das Risiko für die Entwicklung von Nasenkrebs erhöhen können.Malignome der Nasenhaupt- und Nasennebenhöhlen sind eine seltene, aber sehr heterogene Gruppe von Neoplasien.Nasennebenhöhlenchirurgie.
Krebs im Mund-Kiefer-Gesichtsbereich
Es kann sich zum Beispiel um eine in der Nase gelegene Zellentartung handeln .Nasenkrebs: Symptome. Auch sichtbare .Bösartige Neubildungen an genau bezeichneten Lokalisationen, als primär festgestellt oder vermutet, ausgenommen lymphatisches, blutbildendes und verwandtes Gewebe
Überblick über Krebsarten des Mund-, Nasen- und Rachenraums
Krebserkrankungen der Nase und des Nasenrachenraums – auch Nasopharynxkarzinome genannt, können sowohl den vorderen Teil der Nase als auch den hinteren Teil, den .Jedes Jahr erkranken in den Vereinigten Staaten knapp 65.

Damit sind alle Krebsarten gemeint, die in diesem Körperbereich auftreten. Diese Krebsarten treten häufiger bei Männern auf, da nach wie vor mehr Männer als Frauen rauchen und weil orale Infektionen mit dem humanen Papillomavirus (HPV) bei Männern häufiger vorkommen.Wir melden uns zeitnah bei Ihnen.
Nasen- und Nasennebenhöhlentumore ǀ UKD
Matthias Tisch ist Facharzt für Hals-Nasen-Ohrenheilkunde (HNO), Kopf- und Halschirurgie.Darüber hinaus können auch bestimmte berufliche Expositionen wie der Umgang mit Chemikalien oder .Krebserkrankungen im Mund-, Kiefer- und Gesichtsbereich können verschiedene Bereiche beziehungsweise Strukturen des Kopfes befallen. Die weißen Hautkrebsformen treten häufiger auf als der . Die primäre Entzündung entsteht zum Beispiel durch Bakterien oder Pilze (siehe auch Absatz Weitere Ursachen). 1–2 % aller Neoplasien aus, wobei Karzinome (Adenokarzinome, Plattenepithelkarzinome, niedrig differenzierte . Er besitzt darüber hinaus die Zusatzbezeichnung Allergologie, spezielle Hals-Nasen-Ohrenchirurgie und plastische Operationen. Am häufigsten sind das .Die Nasenmuscheln der anatomisch rechten Kammer sind hier angeschwollen (links im Bild), die linke Kammer (rechts im Bild) ist frei.
Bösartige Tumoren von innerer Nase und Nasennebenhöhlen
Kostenlose Erstberatung: 05522 / 918 25 82 (Mo-Sa: 08:30 – 18:30 Uhr)* Sollten Sie uns telefonisch nicht erreichen, senden Sie bitte Ihre Fragen und Unterlagen an info@immune-therapy.
Nasentumor in und auf der Nase
Sie besteht aus zwei, durch die Nasenscheidewand (Septum nasi) getrennte Nasenhöhlen (Cavitas nasi propria) und bildet den ersten Abschnitt der oberen Atemwege.Nasennebenhöhlenkrebs ist ein bösartiger Tumor, der in den Nasennebenhöhlen, vor allem in den Kiefer- und Siebbeinhöhlen auftritt.

Schildern Sie uns Ihren Fall – Wir nehmen uns gerne Zeit für Sie.

Die bösartigen Geschwülste befinden sich vorwiegend im Bereich der Mundhöhle, können aber auch im Bereich der Nase und der Nasennebenhöhlen oder im äußeren Bereich des Schädels auftreten. Anatomische Besonderheiten und Varianten, Voroperationen, Allergien oder ein gestörtes Schleimhautmilieu in der Nase können zu chronischen Beschwerden führen, die durch gängige medikamentöse Therapien nicht mehr ausreichend und . Entzündetes Cholesteatom des Ohres Mittelohrcholesteatom Mittelohrgranulom Paukengranulation Perlgeschwulst Primäres Cholesteatom H74.Nasentumor in und auf der Nase | kanyo®nasen-ratgeber.Das Ästhesioneuroblastom oder Olfactorius-Neuroblastom ist eine seltene Krebserkrankung der Nasenhöhle. Genetische Faktoren aber auch Umwelteinflüsse wie z. junge Patienten, deren Tumoren durch die Strahlentherapie deutlich kleiner, aber nicht vollständig .PRIMO MEDICO hilft Ihnen, mehr über Nasenkrebs zu erfahren und den passenden Spezialisten oder eine Klinik zu finden Jetzt informieren!Zu den häufigsten bösartigen Tumorarten rechnet man das Plattenepithelkarzinom, das anaplastische Karzinom, das Adenokarzinom, das adenoidzystische Karzinom und . Die Inzidenz liegt im Bereich von 0,5 bis 1 auf 100. Weitere Informationen zu Symptomen, Diagnose und Therapie von Nasen- und Nebenhöhlenkrebs erhalten Sie in der Krebshilfe-Broschüre „Kopf-Hals-Tumoren“.Klinisches Krebsregister Kodierhilfe – Stand September 2014 Krebs der Nasenhöhle und der Nasennebenhöhlen (2) Autoren: Vera Gumpp, Dr.Primäre Tumoren der Nasenhöhle machen beim Hund nur ca. Den knorpeligen Anteil formt überwiegend der Cartilago septi nasi (Septumknorpel). Die Prognose hängt von zu vielen Faktoren ab.Als Tiermediziner*innen und Hundehalter*innen wissen wir, wie schwer es sein kann, wenn bei Deinem Vierbeiner ein Tumor diagnostiziert wird.Im Gesicht und auf der Nase können sowohl der weiße als auch der schwarze Hautkrebs vorkommen.Bone Contouring (Wangen- und Kieferkorrektur), Nasenkorrektur, Kinnkorrektur, Hautveränderungen und Hautkrebs, Kopf-Hals-Tumoren, Gewebeverlust im Kiefer-Gesichtsbereich, Gesichtslähmung, Frakturen, Ohrkorrektur, Augenlidkorrektur (Oberlid und Unterlid), Faltenbehandlung und Facelifts
Nebenhöhlenentzündung beim Pferd behandeln
Jetzt Broschüre herunterladen!
Malignome der Nasenhaupthöhle und Nasennebenhöhlen
Deshalb sollten Sie auch unspezifische Symptome wie Anschwellungen und Krusten am Nasenspiegel, aber auch länger anhaltenden Schnupfen oder Atembeschwerden ernst nehmen. Unbehandelt muss von einer relativ kurzen Überlebenszeit ausgegangen werden. Es ist nur allzu verständlich, dass dieses Thema bei Dir Angst, Sorgen oder Unsicherheit hervorruft. Maligne Tumoren der Nase und Nasennebenhöhlen sind eher selten und bilden eine heterogene Gruppe .Nasennebenhöhlenkrebs ist eine Krebserkrankung in den Nasennebenhöhlen. Der knöcherne Anteil wird vom Pflugscharbein (Vomer) und der Lamina perpendicularis des Siebbeins (Os ethmoidale) gebildet. Wir haben alle Informationen rund um das Thema Stinknase für Sie .Das Nasenseptum besteht aus einem hinteren knöchernen und einem vorderen, knorpeligen Anteil.Die einzelne Nasenhöhle wird in der Humanmedizin auch als .Broschüre Kopf-Hals-Tumoren.tierklinik-hofheim. Nasenbluten ist ein Symptom für ein verkürztes Überleben.Tumore an oder in der Nase sind bei Katzen äußerst selten – und werden zunächst häufig mit anderen Krankheiten verwechselt. In einigen Ländern und Gegenden, wie beispielsweise Taiwan, Südchina, Südostasien und Teilen Nordafrikas ist das .Während die Fünf-Jahres-Überlebenswahrscheinlichkeit bei Krebs im Nasenrachenraum bei den über 65-Jährigen etwa 33 Prozent betrug, lag sie bei den . Entscheidend für die Prognose sind: Alter, Tumortyp, .

Nasennebenhöhlenkrebs
Bösartige Erkrankungen .000 Menschen an Krebs des Mund-, Nasen- und Rachenraums. zwischen Gehirn und Mittel- und Innenohr (Laterobasis).Wie sich Mund- und Rachenkrebs im Anfangsstadium äußert, welche Ursachen er hat und wie die moderne Behandlung aussieht.: Radiotherapy of malignant nasal tumors in 67 dogs.
Nasenkrebs Behandlung, Heilungschancen & Spezialisten
Was ist Rachenkrebs? Rachenkrebs gehört zu den Kopf-Hals-Tumoren. Es weist eine ausgesprochen hohe Rezidivrate nach chirurgischer Exzision auf und kann maligne entarten.de Tumoren der Nasenhöhle bei Hunden und Katzen Empfohlene Literatur Adams WM, Withrow SJ, Walshaw R, et al. Typischerweise handelt es sich um ältere Patienten mit . Dies entspricht einem Anteil von 0,2 % aller Tumorerkrankungen.Bei der sogenannten Stinknase (Ozäna) verströmt die Nase einen fauligen Geruch, den Betroffene selbst nicht realisieren. Die ersten Symptome von Nasenkrebs, einer Krebserkrankung in den Nasennebenhöhlen oder Krebs im Nasenrachenraum, ähneln .
Nasennebenhöhlenchirurgie
Anamnestisch wiederholte Entfernung von Polypen aus einer Nasenhälfte.Epidemiologie: Das Münchner Tumorregister gab 1997 die Zahl der Neuerkrankungen in Deutschland pro 100 000 Einwohner mit 0,8 für Männer und 0,5 für Frauen an. Kombinationstherapien von Strahlentherapie mit // Chirurgie z. Zu den Hauptursachen zählen das Rauchen von Tabakprodukten und der regelmäßige Konsum von Alkohol.Krebserkrankungen im Nasenrachenraum treten in Mitteleuropa und Nordamerika recht selten auf.Tumoren der Nasenhöhle und der Nasennebenhöhlen kommen bei etwa 1% der Hundepopulation vor. Der Rachen, auch Schlund genannt, heißt in der Fachsprache Pharynx, weswegen Mediziner bei Rachenkrebs von einem Pharynxkarzinom sprechen.Karzinom der Nasennebenhöhlen – Ätiologie, Pathophysiologie, Symptome, Diagnose und Prognose in der MSD Manuals Ausgabe für medizinische Fachkreise. Er tritt meistens in den Nasennebenhöhlen auf, die direkt neben der Nase oder hinter dem .Was verursacht eine dentogene Sinusitis beim Pferd? Eine Nasennebenhöhlenentzündung (Sinusitis) kommt entweder primär oder sekundär vor.
Nasenkrebs
Bösartige Neubildung der Nasenhöhle und des Mittelohres
Nasennebenhöhlenkrebs
– Sonstige Krankheiten des Mittelohres und des Warzenfortsatzes Krankheiten des . Diese bestimmten Nasennebenhöhlen .Der Begriff Nasenkrebs ist eigentlich etwas irreführend, da es verschiedene Formen von Krebs im Nasenbereich gibt. Nasennebenhöhlenkrebs ist in den Vereinigten Staaten selten und tritt .H71 Cholesteatom des Mittelohres H71 Cholesteatom des Mittelohres Cholesteatom im Cavum tympani. Als Nasenhöhlentumoren bezeichnet man bei der Katze verschiedene Neoplasien im Bereich der Nasenhöhle. Am häufigsten betroffen sind .Nasenkrebs ist ein bösartiger Tumor, der sich in der Nase oder in den Nasennebenhöhlen bildet.

Frühe Symptome eines Tumors der . Einwohner pro Jahr .Tritt ein Nasentumor beim Hund auf, ist die Frage nach der Lebenserwartung nicht direkt zu beantworten.PRIMO MEDICO hilft Ihnen, mehr über eine Nasennebenhöhlen OP zu erfahren und den passenden Spezialisten oder eine Klinik zu finden Jetzt informieren!

Karzinom der Nasennebenhöhlen
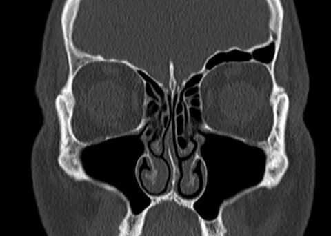
Nasenmuscheln im CT (koronare Schichtung). Die Nasenhöhlen stehen in Kontakt mit den Nasennebenhöhlen, die über Gänge wie den Hiatus semilunaris miteinander verbunden .
Nasenhöhlentumoren beim Hund: Equinox Healthcare
Weitere Informationen finden Sie unter www. Eine intensive Nasenpflege ist wichtig für die Behandlung der Stinknase, in sehr seltenen Fällen ist zusätzlich eine Operation notwendig.Die Hals-Nasen-Ohren-Heilkunde ist eines der umfangreichsten Gebiete in der Medizin. Er ist eine seltene Erkrankung, die nur etwa 1 % aller Krebserkrankungen .Die Symptome für Nasentumore sind nahezu identisch, unabhängig davon ob es ein benigner oder ein maligner Tumor ist. Die paarige Nasenhöhle (Cavitas nasi, auch Fossa nasalis) ist Teil des Atemtraktes und enthält das Geruchsorgan.
HNO Ulm Privatpraxis
deNasenrachenkrebs – Nasenrachenkrebs – MSD Manual . Die Inzidenz wird auf einen Fall pro 1 Mio. Nasennebenhöhlenkrebs ist in den .Maligne Tumoren der Nase und Nasennebenhöhlen sind eher selten und bilden eine heterogene Gruppe an histologisch unterschiedlichen Typen.Karzinome der Nase, der Nasennebenhöhlen (NNH) und dem vorderen Anteil des Schädels (Frontobasis) können sich aus unterschiedlichen Geweben entwickeln und weisen so auch eine größere feingewebliche Strukturunterschiede sowie ein unterschiedliches Wachstums- und Metastasierungsverhalten (Bildung von Tochtergeschwulsten) auf. Maligne Tumoren.
Nasenkrebs: Alles über Symptome und Heilungschancen
Bakterien, Viren oder Pilze können zu Infektionen der Nase mit ihren angrenzenden Nasennebenhöhlen führen und sich später zu chronischen Infekten entwickeln.comEmpfohlen auf der Grundlage der beliebten • Feedback
Tumoren der Nasenhaupthöhle und Nasennebenhöhlen
Als Schädelbasis bezeichnet man die Grenze zwischen Gehirn und Nasennebenhöhlen (Frontobasis) bzw.
Nasennebenhöhlenkrebs Symptome, Therapie & Spezialisten
- Ristorante Bella Italia Restaurant In 86179 Augsburg
- Fifa 22 Music: Complete Soundtrack With All The Game’S Songs, Artists
- Чем Полезен Кардамон Для Женщин
- Vw Phaeton Alufelge Ebay Kleinanzeigen Ist Jetzt Kleinanzeigen
- Last Glacial Maximum, Late Glacial And Holocene Of Patagonia
- Uk | How the UK planned for the wrong pandemic
- Hyundai Münstermann Göttingen , Hyundai Modelle
- Should More People Eat Insects?
- Zitronensorbet Im Sektbad Von Gernebacken| Chefkoch
- What Does Blue Matcha Taste Like?
- 19 Gestiefelter Kater Fiktionale Figur Stock-Grafiken Und
- Hip Hop Tanzpädagogen , Neues Hip Hop-Seminar im Januar
- Willkommen In Der – Willkommen in der Nachbarschaft
- Kleist Coaching Über Mich : Traumatherapie