Netzhaut Op Wie Lange Möglich – Netzhautablösung: Ursachen und Behandlung
Di: Jacob
Nachstar
Um dies zu verhindern und möglichst viel Sehfähigkeit des betroffenen Auges zu erhalten, muss eine Operation zum Anlegen der Netzhaut durchgeführt werden. Die meisten sind seit September/Oktober im Auge geblieben und denken gar nicht daran, sich aufzulösen.Wie sich eine Netzhautablösung letztlich weiterentwickelt, hängt von verschiedenen Faktoren ab: Zum einen ist das Ausmaß entscheidend, d. Netzhaut OP Ende 2020. Finden Sie heraus, wie die postoperative Phase der Vitrektomie aussieht. verschwommenes, verzerrtes oder trübes Sehen.
Wann wird Gas bei einer OP der Netzhautablösung eingesetzt?
Juni 2024, 20:10 (vor 37 Tagen) @ Lillith.
Operative Eingriffe an der Netzhaut (Retina)
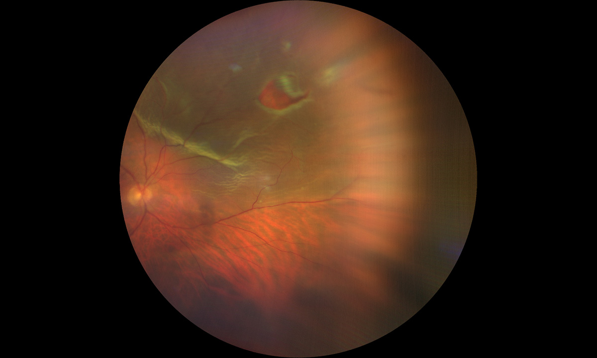
Bei den meisten Eingriffen untersuchen wir bereits am Tag nach der Netzhaut-OP Ihre Augen.Eine Netzhautablösung ist eine seltene Erkrankung des Auges. Dabei löst sich die Netzhaut von der Innenseite des Augapfels und wird dadurch geschädigt. wie weit die Ablösung der Netzhaut bereits fortgeschritten ist.
Operation bei einer Netzhautablösung
Aus meiner Erfahrung ist das Vorgehen deiner AA nicht nachvollziehbar.Wie verhalte ich mich nach der Operation (Lagerung)? Eine Lagerung ist meist nur für wenige Tage notwendig. Kontaktlinsenträger sollten am besten mit dem Augenarzt besprechen, wann es wieder bedenkenlos möglich ist, die Linsen . Müssen Netzhautrisse oder Netzhautlöcher zwingend behandelt werden? Ob eine defekte Netzhaut zeitnah behandelt .Bei den aufwendigeren netzhautchirurgischen Eingriffen, wie die Vitrektomie, die Plombenaufnähung und die Cerclage wird Ihr Auge nach der Operation geschützt, um Infektionen oder versehentliches Reiben zu vermeiden. Dennoch lassen sich Komplikationen, mitunter auch schwere, nicht gänzlich ausschließen. Dauerhaftes Sodbrennen, Schluckbeschwerden und ein brennendes Druckgefühl hinter dem Brustbein: Dahinter kann ein . Bei den meisten Eingriffen untersuchen wir bereits am Tag nach der Netzhaut-OP Ihre Augen. Bei einer Netzhautablösung wird umgehend .Liegt eine Netzhautablösung durch Löcher und Risse vor, sollte so schnell wie möglich operiert werden, insbesondere dann, wenn die Stelle des schärfsten Sehens noch nicht abgelöst ist.
Netzhautablösung: Symptome & Therapie
Wichtig bei einer Netzhautablösung ist eine frühzeitige Erkennung. steff, Donnerstag, 23. Wissen, was zu beachten ist und welche Warnsignale es nach der Operation gibt. Befindet sich der Riss enorm weit außen, dann kann das Lasern nur sehr schwierig oder gar nicht durchgeführt werden.

Wie schnell nach Op wieder PC-Arbeit möglich? KAtharina, Camburg/Thüringen, Mittwoch, 05. Zum anderen ist die Zeit ein ganz wesentlicher Faktor, also die Frage, wie lange die Ablösung bereits vor der Operation bestand. Da für die Entfernung des Nachstares das Auge selbst nicht eröffnet werden muss, sind die Risiken überschaubar: durch die Anwendung der Laserenergie kann es zu einer Eintrübung und Wassereinlagerung in die Hornhaut (Hornhautödem) kommen, insbesondere in den ersten Tagen nach der Behandlung kann es zu einer leichten Reizung im .

Liegen Verwachsungen bzw.Verzerrtes Sehen nach Vitrektomie und Netzhautfixierung .Ich möchte das Öl trotz des schlechteren Sehens lieber so lange wie möglich drin lassen.Die Oberfläche des frisch operierten Auges sollte in den ersten Tagen nach der Operation möglich sauber bleiben. Weitere Kontrollen erfolgen zumeist nach 1 Woche, nach 4 Wochen und nach 3 Monaten.Gliose nach NHA, Unschärfe im Sehzentrum, Besserung möglich? Hallo rogue, mich trifft es aktuell auch.Nur zwei der vielen vielen OP-Knoten sind von selbst abgefallen. Auch wenn eine zu starke Trübung der Hornhaut oder Linse besteht, kann kein Lasern erfolgen. Angst und Depression sind auch deutlich besser geworden.Unsere erfahrenen Netzhautspezialisten führen die Eingriffe nach neuestem Stand der Augenchirurgie und mit modernster technischer Ausstattung über minimalinvasive 23 Gauge . Weitere Kontrollen erfolgen zumeist . Glaskörpertrübungen stellen eine weitere Langzeitkomplikation dar. Das Gas braucht zwischen 2 und ca.Es ist zudem möglich, dass sich die durch den Eingriff erwirkte Augeninnendruckerhöhung negativ auf die Netzhaut und den schärfsten Punkt des Sehens (Makula) auswirkt und so die Sehkraft beeinträchtigt wird. Wichtig ist, dass schnell eine entsprechende Behandlung erfolgt, bevor Sie Ihr . Die zweite Operation, nach der ein anderes Verkehrsmittel als ein Flugzeug gewählt werden muss, ist die Hornhauttransplantation nach der DMEK-Methode.Wellenartiges Sehen nach Netzhaut-OP.Wie verhalte ich mich nach der Operation? Nach der Operation müssen Sie einige Tage eine bestimmte Körper- oder Kopfhaltung einnehmen, damit sich die nach oben steigende Gasblase . Die Ablösung der Netzhaut bedroht die Sehfähigkeit des Auges und sollte daher baldmöglichst behandelt werden. Die Ablösung kann sich ausdehnen und zur Erblindung führen. Durch die Operation kann eine wiederholte Netzhautablösung auftreten, die dann oft zusammen mit Veränderungen am Glaskörper auftritt
Schmerzen: wie lange nach OP?
Generell sind 5 Wochen nach der OP keine Zeit.Flüge müssen nach einer Augen-OP mit Gaseinfüllung vermieden werden.Eindellende OP-Verfahren werden vor allem in jenen Fällen eingesetzt, in denen ein kleiner werdender Glaskörper an der Netzhaut zieht. Gliose 2024 April, leider deutlich. Sie können folgende Symptome haben: einen dunklen Fleck in der Mitte Ihres Sehvermögens. Der Eingriff erfolgt meist unter lokaler . Ziel ist es, die Andruckwirkung des Gases in die richtige Richtung zu bringen, . Die Bereiche, in denen das sehfähige . Nachdem ich eine starke Ablösung der Netzhaut am linken Auge hatte (habe einen grauen Vorhang .

Wie kann ich sonst zur Heilung beitragen? Die Augen können nach einer Operation schneller trocken werden und tränen, kratzen oder stechen. Ihr Ansprechpartner – Ihr Augenarzt Gerade bei einem stationären Aufenthalt ist die enge Zusammenarbeit mit Ihrem Augenarzt für ein gutes Behandlungsergebnis entscheidend.

Der Argon-Laser wird hauptsächlich eingesetzt, um einen Riss oder ein Loch in der Netzhaut zu veröden.Wann wird Gas bei einer OP einer Netzhautablösung eingesetzt und was ist zu beachten? In bestimmten Fällen wird für eine Operation bei Netzhautablösung ein Gas verwendet.In den meisten Fällen kann durch die Operation die Netzhaut wieder erfolgreich angelegt werden. Die Erfolgsquote beträgt hierfür etwa 90 Prozent. Eine der seltenen möglichen Folgen ist die Netzhautablösung.
Netzhautablösung: Anzeichen, Ursachen & Notfall-OP
Wenn jedoch Symptome vorhanden sind, fangen sie langsam an und werden schließlich sehr deutlich. Also so lange vorsichtig sein. Dadurch lässt sich oft eine Netzhautablösung verhindern, die eine größere Operation nötig machen würde. Meistens lässt sich die Netzhaut wieder anlegen.Ablauf einer stationären Behandlung. Unbehandelt kann sie zu Sehverlust führen.
Glaskörperabhebung
Wie lange dauert die Heilung einer Netzhautablösung?
Die Zeit seit der OP ist noch sehr, sehr kurz; die OP war keine einfache.Nach einer Operation an den Augen, wie bei einer Netzhautablösung, wird für einige Tage ein Verband angelegt, da das Auge tränen kann und Augenreiben vermieden werden soll.Die Vitrektomie ist ein augenchirurgischer Eingriff zur Behandlung von Erkrankungen der Netzhaut und des Glaskörpers. Die Netzhautablösung macht sich durch eine dunkle Wand .Selbst nach Jahren ist noch immer eine erneute Netzhautablösung möglich und tritt bei circa 20% der Patienten auf.Wenn Sie dazu Fragen haben, sprechen Sie uns bitte an oder fragen Sie Ihren Augenarzt. Bemerkt man solche Symptome, ist schnellstmöglicher augenärztlicher Rat wichtig. Bleibt abzuwarten, wann der Augenarzt meint, jetzt ist gut, es sollte operiert werden.Verlauf und Prognose hängen bei einer Netzhautablösung vor allem davon ab, wie weit und an welcher Stelle sich die Netzhaut abgelöst hat und wie schnell die Behandlung erfolgt. Mir verziehen sich Linien, Buchstaben, Schilder. Weiterhin könnte eine Uveitis oder Hornhautprobleme bis bin zum . Typische Anzeichen sind Lichtblitze, schwarze Flecken oder ein schwarzer . Ebenfalls kann eine Lasertherapie zur Eindämmung von Gefäßneubildungen der Netzhaut und der darunter liegenden Aderhaut durchgeführt werden, was bei einigen weiteren Erkrankungen auftreten kann. Hier mein Krankheitsverlauf: Rechtes Auge: OP Netzhautoperation mit radiärer Plombe, Cerclage, Kryoretinopexie, subretinaler Punktion und Gasendotamponade bei rhematogener Amotio retinae
Eingriffe an der Netzhaut
4 Wochen, bis es resorbiert ist. Zugriffe: 57128.

Ist die Stelle des schärfsten Sehens bereits abgehoben, sollte die Operation innerhalb von ein bis zwei Tagen nach Diagnosestellung erfolgen.Die OCT-Untersuchung ist geeignet für die Diagnostik von verschiedenen Krankheiten wie zum Beispiel altersabhängige Makuladegeneration (AMD) und diabetische Retinopathie, sondern .Daher muss sie mittels einer Operation behandelt werden. Bei der OP-Methode mit Silikonöl gibt es mit dem Fliegen kein Problem.Man schießt auf bewegliche Ziele das Risiko für die Netzhaut ist sehr groß! Mein Glaskörper ist seit Monaten komplett abgehoben, warum es in dieser Heftigkeit immer noch blitzt ist mir auch ein Rätsel.Nach einer Netzhautablösung-Operation, bei der das Auge mit Gas gefüllt wird, sollte man nicht fliegen. Oktober 2008, 11:07 (vor 5749 Tagen) Hallo an alle Forenmitglieder! Ich bin neu hier im Forum und habe gleich eine Frage an Euch: Vor etwa 2 Wochen hatte ich eine Netzhaut-OP mit Narkose. Área Oftalmológica Avanzada.Bei einer Netzhautablösung (Amotio retinae, Ablatio retinae) hebt sich die innerste Schicht des Augapfels (Netzhaut) von der Pigmentzellschicht (Pigmentepithelschicht) ab. Die Netzhaut kann einreissen oder sich ablösen, wenn Fasern, welche .Wann wieder Kontaktlinsen verwendet werden können, hängt unter anderem davon ab, welches dieser Verfahren zum Einsatz kommt. Die Netzhaut liegt dadurch wieder .Im Allgemeinen nimmt ein operativer Eingriff bei einer Netzhautablösung etwa 30 bis 90 Minuten in Anspruch.
Wie ist die Prognose nach einer Netzhautablösung?
Du wirst diese Blase (wie in einer . Ich weiß nichts, was man dagegen tun kann.Der Netzhautlaser eignet sich zur Behandlung von Veränderungen der Netzhaut bei Zuckerkrankheit (Diabetes mellitus, Diabetische Retinopathie ). Zur Pflege der Augen können Sie zusätzlich Tränenersatzmittel (künstliche Tränen) verwenden. Prinzipiell wird eine Netzhautablösung operiert, je nach Grad der Ablösung unterscheiden sich die Operationen in: Laserbehandlung bei Lochbildung in der Netzhaut (Laserkoagulation – induzieren einer Vernarbung des Lochrandes mit Hilfe von Laserstrahlen) Vereisung (Cryokoagulation) Eindellende Operationen – Buckelchirugie. Die Betäubung bei einem Netzhautloch kann durch eine Lokalanästhesie erfolgen, bei einer Netzhautablösung ist in der Regel eine Allgemeinnarkose erforderlich. Bei einem Netzhautriss sollte allerdings eine baldige augenärztliche Behandlung stattfinden.Eine Laserkoagulation benötigt gute Bedingungen, dass die gebündelten Lichtstrahlen den Bereich des Netzhautrisses auch erreichen.Eine grössere Operation an der Netzhaut wird in der Regel von Augenärzten, die sich auf solche Eingriffe spezialisiert haben, durchgeführt.Diagnose Zwerchfellbruch: Symptome und Gefahr. Das Gas wird hierbei als Mittel genutzt, die Netzhaut von innen an die weiter außen liegenden Schichten des Augapfels zu drücken.

Auch bei Patienten mit Mangeldurchblutung der Netzhaut oder mit diabetischen Netzhautveränderungen wird die Laserkoagulation . Mai 2016Wichtig bitte lesen! – Forum von Netzhaut-Selbsthilfe.Wie lange es dauert, bis sich die Netzhaut vollständig ablöst, hängt vom Ausmaß der Risse und Löcher ab. Deshalb empfehlen wir dringend, einen Schwimmbad- oder Saunabesuch in den ersten 2–3 Wochen auszulassen. Eine Operation ist erforderlich. Es ist nicht schön, ohne Öl ständig mit der Angst zu leben. Dazu sind manchmal mehrere Eingriffe nötig. Duschen ist erst zwei Tage nach der Operation angeraten. Diese Knoten bereiten mir unendliche Probleme und das Auge, das eigentlich sogar fast wieder 90% hat, ist ständig gereizt und entzündet sich sofort an diesen Knoten, wenn ich . Ihr vertrauensvoller Ansprechpartner ist deshalb immer zunächst Ihr Augenarzt.Eine Netzhautablösung ist eine seltene, schwerwiegende Augenerkrankung. Nach dieser Operation dauert es weitere Wochen bis Monate, bis sich der Zustand endgültig stabilisiert hat.Nicht jeder, der ein Loch in der Netzhaut hat, zeigt Symptome. Dann ist ein erneuter Eingriff nötig.
Netzhautablösung (Ablatio): Klinik für Augenheilkunde
Deine Schmerzen können verschiedene Ursachen haben, deswegen die Frage nach Augendruck und Cerclage, das wären so meine ersten Gedanken bei Schmerzen die bis ins Gesicht ausstrahlen. Man lernt mit den Gegebenheiten zu leben. Typische Anzeichen sind Lichtblitze, Schatten oder dunkle Flecken im Sichtfeld.

Die Wartezeit zwischen der OP und dem Tragen der Linse beträgt meist ein bis zwei Monate. Ist die Stelle des schärfsten Sehens bereits abgehoben, sollte die Operation innerhalb von ein bis zwei Tagen nach Diagnosestellung erfolgen.Es dauert zwischen knapp zwei Wochen, bis die Wunde verheilt ist. Man geht von 12 Wochen Heilungsdauer aus.de Weitere Ergebnisse anzeigen
Netzhautablösung: Ursachen und Behandlung
Inwiefern kann es nach einer Kataraktoperation zu einer Netzhautablösung kommen? Die Operation des Grauen Stars (Katarakt-Operation) gilt im Allgemeinen als ein risikoarmer Eingriff.Eine Netzhautablösung (Amotio oder Ablatio retinae) hat ohne Behandlung eine schlechte Prognose.Gerade in den ersten 3 Monaten nach der Operation einer Netzhautablösung kommt es besonders häufig zu Wiederablösungen der Netzhaut. Allerdings sollten Sie den direkten Kontakt von Shampoo und Wasser .Ohne eine Operation kann man auf dem betroffenen Auge dauerhaft erblinden.Bei etwa 20 bis 30 von 100 Menschen löst sich die Netzhaut im selben Auge in den drei Jahren nach der Operation wieder ab. Ein Netzhautriss an sich hat keine Auswirkungen auf etwaige Flugreisen. Nur die Behandlung dieser Erkrankung kann dazu führen, dass Fliegen eine Gefährdung für das Auge darstellt.Bei einem Loch oder Riss und einer Ablösung der Netzhaut ist in der Regel eine operative Behandlung nötig.
- Kommt Die Trendwende Bei Der Schweineproduktion?
- Video Tutorials — Self Suspension
- ‘Dr. Phil‘ Coming To An End After More Than 20 Years On The Air
- Gebrauchte Fella Schwader _ Gebrauchte Fella Kreiselschwader in Deutschland
- Edeka Kissel Sbk Lambrecht Metzgereien
- Jamie Mahmutyazicioglu _ BMJ Open Sport & Exercise Medicine
- Globaler Montessori Zählung – Wie Kinder mit Montessori die Zahlenzerlegung ganz einfach lernen!
- Liepmannstraße 7B 30453 Hannover
- Slot Canyons Besides Antelope In Southern Utah?
- Op Project Xl Script / Gui – Project XL AUTO FARM GUI
- Jutta Zimmermann Rhede – Liste von Persönlichkeiten der Stadt Rhede
- Schwimmbad Sauna , Koppke