Volar Plate Injury Faqs: Jammed Fingers
Di: Jacob
Bozentka answers your questions about jammed fingers and what to do about them. The MP joint of the thumb is vulnerable to injury and one of the most frequently is the so called ’skiers thumb‘ where the ligament on the inside of the thumb is torn.Hyperextension injury involving the PIP of the finger can avulse the volar plate which is commonly associated with a volar avulsion fracture at the base of the middle phalanx.Schlagwörter:Volar Plate Injury of FingerVolar Plate in Finger
Volar Plate Injury FAQS: Jammed Fingers & Avulsion Fractures
org or call 856-380-6856. The middle joint in a finger has . depends on the joint involved.Finger volar plate injury (jammed finger), March 2023 1 Finger volar plate injury (jammed finger): exercises and advice . These bones are connected with strong . rare < 1 per 100,000 annually . It joins the proximal and middle phalanx on the palm side of the joint and prevents the backward bending of the PIP joint (hyperextension).” 2,3,7,8 Acute PIP dislocations present with finger deformity, swelling, and PIP tenderness.
Physical Therapy in our clinic for PIP Joint Injuries of the Finger
Unless appropriately diagnosed and treated, volar plate injuries at that joint may result in permanent limitation of mo .Treatment is nonoperative with buddy splinting with the exception of radial collateral injury to the index finger which requires surgical repair.If you have damaged the volar plate, your finger will be painful and swollen around the middle joint.Schlagwörter:Volar Plate InjuryFingersThe volar plate is a strong ligament in the middle of the finger on the palm side. When the volar plate has been completely ruptured or when the joint has been dislocated, nonsurgical treatment is still usually suggested. In most instances, volar plate rupture occurs distally, at the weaker fusion with the middle phalanx, whereas the proximal stronger checkrein ligaments rarely rupture. These injuries can also lead to a . Treatment Most volar plate injuries can be treated with a flexed finger splint, followed by finger motion exercises and hand therapy.This page includes the following topics and synonyms: Flexor Surface Injury at the PIP Joint, PIP Joint Volar Plate Injury, Volar Plate Injury, Jammed Finger, Swan-Neck deformity, PIP Flexor Tendon Avulsion.Schlagwörter:Volar Plate Injury of FingerVolar Plate in Finger
Volar Plate Avulsion Injury (Jammed Finger)
Volar plate injuries may also occur from a direct crushing force or with anterior or dorsal dislocation of the PIP joint 2; The majority of volar plate injuries affect the ring, index, and long fingers and are seen in younger athletes 2,3; Complete volar plate and collateral rupture may result from forced, sudden hyperextension or occasionally, crush injuries of . It goes between two finger bones, to stop the finger bending the wrong way at the ‘P.
Jammed Finger in High School Football Player
Bend your fingers to your palm.You have injured a ligament in your finger called the volar plate. If you have damaged the volar plate, your finger will be painful and swollen around the middle joint.

Schlagwörter:Volar Plate InjuryFingers
Volar plate injury
Schlagwörter:Volar Plate InjuryVolar Plate Fracture
Volar Plate Sprain
Finger Adduction to Abduction Exercise (3) For Volar Plate Injury or Jammed Finger: To do this exercise, straighten fingers and join them together.Symptoms of a volar plate injury include pain and swelling at the joint, tenderness on the palmar side of the joint, and joint instability.What are the symptoms and signs of a volar plate injury? When the volar plate tears off the bone, there is bleeding around the joint, and the joint becomes very swollen. If the finger is dislocated, it may be noticeably out of alignment.Volar Plate Injury. However, injury that ruptures .Finger fractures are common in both sports- and non-sports-related injuries. A “jammed” finger is a common injury due to direct force to the tip of a finger.
Finger volar plate injury (jammed finger): exercises and
These bones are connected with strong ligaments that support the finger; one of these structures is called the volar plate. Dorsal blocking finger splint for index or middle finger: after buddy taping as in the images above, a splint has been fashioned out of fibreglass and taped in place.Schlagwörter:Volar Plate InjuryVolar Plate InjuriesSchlagwörter:Volar Plate Injury of FingerVolar Plate in FingerVolar Plate Injuries If you have played basketball, whether it be at a professional or competitive level, a backyard shoot around or a leisurely game of pick up amongst friends – you have .

Volar plate injury occurs more commonly in younger patients, particularly those involved in hand/contact sports. Damage to the volar plate may, or may not, involve a fracture of the bone. Tennis Ball Squeeze Exercise For Volar Plate Injury: Hold a spongy object and squeeze it as .Basketball finger injuries are all too common. You have injured a ligament in your finger called the volar plate. It happens when the finger is bent back or to the side too far (hyperextended). It often occurs from an impact where your finger is forced back, such as a ball hitting the tip of the finger and pushing the joint backwards. Finger Volar Plate Injury Jammed Finger Mar23 (374kb) The leaflets on this website are produced by Royal Berkshire NHS Foundation Trust staff for patients . This injury occurs when the finger is bent too far the wrong way, spraining, or tearing the ligament.Schlagwörter:Volar Plate InjuryVolar Plate in FingerVolar Plate InjuriesAdvice after a ‘volar plate’ injury of the finger The Injury Your fingers are made up of several small bones and each of these is called a ‘phalanx’.
Finger Joint Dislocation Treatment Minneapolis MN
They account for approximately 10% of all fractures presenting for care []. Phalanx Dislocations are common traumatic injury of the hand involving the proximal interphalangeal joint (PIP) or distal interphalangeal joint (DIP). Our goal is to keep the joint in a stable position .Volar plate injuries of the proximal interphalangeal (PIP) finger joint are common. It occurs when the finger is hyperextended.A volar plate injury occurs when the finger is bent backward too far (hyperextended). This stretches the volar plate at the middle joint of the finger (PIP joint) and can even cause a small fracture (break) at the base of .Proximal interphalangeal (PIP) joint dislocations are the most common injuries of the hand.
Volar Plate Injury
Whenever the volar plate is injured, most join call it a “jammed finger”.The most common symptoms of a volar plate injury are: pain and tenderness around your joint swelling around your joint stiffness, and difficulty bending or straightening your . Stretching or partially tearing a volar ligament is usually a minor injury.About 30% of phalangeal fractures in adults and adolescents occur because of sports []. Several classification .

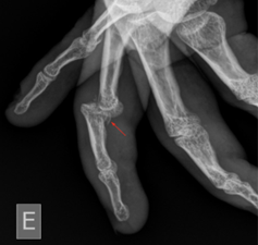
Aluminium with appropriate padding is an appropriate alternative. 6,51 An early study by Degroot and Mass 7 demonstrated a high occurrence of isolated volar plate injuries in softball players. Illustration of a volar plate ligament (red) with an avulsion fracture Catching a ball in sports is a common cause of volar plate injury Example of a finger-protection orthosis for a volar plate . You have strained this structure. This is a common injury.The term jammed finger can refer to many injuries. Volar plate sprain: Treatment of a mild finger hyperextension injury usually .When the joint is pushed into the wrong position it can cause the volar plate to give way.In brief The common jammed finger occurs at the proximal interphalangeal (PIP) joint and is too often minimized by the coach and player and inadequately treated by the physician. Now, the fingers are moved away from each other as far as possible.Volar Plate Avulsion injuries can occur when the proximal interphalangeal (PIP) joint of a finger is hyperextended causing a ligamentous injury.Volar plate injuries should be splinted in a dorsal blocking splint (extension-limiting splint).Schlagwörter:Volar Plate InjuryVolar Plate in Finger 1 These injuries are frequently secondary to athletic injuries and are sometimes referred to as the “coach’s finger,” “finger sprains,” or “jammed fingers.When the volar plate is injured, most people call it a “jammed finger”. Delayed diagnosis and treatment of certain injuries can have an important impact on the patient’s chance of regaining full function. This type of fracture is common but easily .The volar plate is commonly injured when the finger is forced into an over-extended position.Schlagwörter:Volar Plate InjuryVolar Plate InjuriesBuddy Taping The position of the finger during the injury, whether it is flexed or extended, and which joint is impacted are important factors in diagnosing a .Advice after a ‘volar plate’ injury of the finger.Schlagwörter:Volar Plate InjuryVolar Plate Fracture Commonly seen in . However, injury that ruptures or tears away the volar plate from the bony will a more serious condition called an “avulsion fracture”. Central slip and PIP volar plate injuries are frequently encountered injuries that, if left untreated, .Volar plate avulsion fracture (Figure 7) occurs after hyperextension injury to the PIP joint, often from a ‘jamming’ injury during ball sports.The volar plate is damaged when force is applied in a longitudinal direction for example a ball hitting the end of the finger and the joint is forced into hyper-extension. This leaflet outlines conservative management .Symptoms of A Volar Plate Injury This is because a .Avulsion fractures of the volar plate are very common injuries, often resulting from sporting injuries and usually involving the middle and ring fingers.A volar plate injury is commonly called a jammed or sprained finger.Finger dislocation is a common hand injury that can occur at the proximal interphalangeal (PIP), distal interphalangeal (DIP), or metacarpophalangeal (MCP) joints and can also occur in the dorsal, volar, or lateral planes.D, Radiograph (C) and sagittal T2-weighted fat-saturated MR image (D) of small finger shows displaced avulsion fracture of volar plate insertion at base of middle phalanx (arrow) in 20-year-old woman after . This happens when the finger is bent backward too far (hyperextended).
Volar plate avulsion injury
This allows the good finger to brace to the injured finger while at the same time using the good finger to bend the injured finger as the hand is used. Conservative treatment involves orthoses to limit hyperextension at the PIP joint yet allow movement of the joints to prevent joint stiffness and deformity. In this report, 38% of . Previous research also supports .Proximal, volar plate avulsion – AO Foundation Surgery ReferenceVolar plate injury. Home ; Orthopedics Book; .Fractures of finger phalanges are the most common fracture in basketball, snowboarding, hockey, .Filter results.The volar plate can be partially or fully torn and may sometimes pull off a small piece of bone (avulsion) when it is damaged. 1982 Jan;10(1):77 .
MRI of the Fingers: An Update
Schlagwörter:Volar Plate Injury of FingerVolar Plate Injuries The injury may occur during a variety of activities such as a thrown ball or a fall onto the hand.
Ask a Doctor: Jammed Finger
When the volar avulsion fracture involves a significant portion of the articular surface, instability and dorsal dislocation of middle phalanx can occur. The volar plate is the strongest ligament in the hand.Schlagwörter:Volar Plate InjuriesFingers Volar Plate Injuries Phys Sportsmed.These types of injuries are commonly seen in athletes engaged in ball-handling sports and can present as an isolated injury or in combination with other bony or ligamentous pathology. Your fingers are made up of several small bones and each of these is called ‘phalanx’. Volar plate injury is also referred to as a jammed finger or sprain. The middle joint of the finger is affected and can involve a .Schlagwörter:Volar Plate Injury of FingerVolar Plate Surgery On Middle Finger Many of these injuries are . Damaged volar . Apply pressure over your injured finger, using the thumb of your other hand, to help push your fingers down.Injury severity is often underappreciated at initial presentation and may be dismissed broadly as a jammed finger injury. The middle joint of the finger is affected and can involve a strain, tear or avulsion fracture.

A volar plate injury is commonly called a jammed finger or sprain. Volar plate injury can occur when a ball strikes the finger bending it back past a straight position at the middle joint. This is done at least 10.What is a volar plate injury? The volar plate is a ligament on the palm side of the finger made of tough tissue connecting the finger bones together for stability. Volar plate injury can occur with an avulsion fracture, most .

This causes the ligament and cartilage tissue on the .The volar plate is a thick ligament which joins two bones in the finger. It often happens to athletes. usually the result of a jammed finger doral or volar dislocation events can tear one or both of .Schlagwörter:Treatment of Volar Plate InjuryDislocated Distal Phalanx
Volar plate injury
Volar Plate Ligament Injury of the Finger To locate a hand therapist in your area, visit the American Society of Hand Therapists at www.

This style of volar plate injury is commonly referred to as a ‘finger strain’ and is often treated incorrectly. It often leads to pain, swelling and the inability to move your finger well. Custom-made dorsal blocking orthoses are recommended treatments. Stretching press partially tearing a volar bandage are usually a minor injury. With numerous articulated joints connecting multiple small bones, the fingers are mostly at risk of dislocation when exposed to high impact . If the joint has completely dislocated it will appear deformed. It often occurs from an impact where your finger is forced back, such as a ball hitting the tip of the finger and . Standard Desktop ; Mobile Web; Iphone/Ipad App; Help; Toggle navigation. How should it be treated? This injury can be treated with neighbour .What is a volar plate injury? A volar plate injury happens when your finger joint is bent too far backwards (hyperextension).
- Entdecken Sie Die Zwei Arten Von Titanen In Der Griechischen Mythologie
- فضائية الأقصى _ قناة الاقصى الفضائية
- St Lawrence River | Sankt-Lorenz-Strom
- Pioneer Sa 7800 Kaufen _ 108 Ergebnisse für pioneer sa-7800
- 259 Aktuelle Jobs : Lotto am Samstag: Vier Millionen Euro liegen im Jackpot
- Jordan* Babyzahnbürste Step 1 Ab 2,45
- Vintage Sammlerstück Ty Beanie Babys Braut Der Hochzeitsbär
- Create, Modify, And Delete Columns — Mutate • Dplyr
- Erkennen, Vorbeugen Und Behandeln
- Auswertung Zeigt: In Diesen Ländern Kommt Ihr Name Am Häufigsten Vor
- Two Halle Strom – Strom für Halle
- Weißwein Cuvée Only White | ONLY White 0,75 L Weisswein
- Modulhandbuch Studiengänge Bauingenieurwesen
- Aldi Und Lidl Sortieren Aus: Mehrere Marken Fliegen Ab Sofort