Zahnaufhellung Bleaching Bonn _ EDEL&WEISS Bleaching Studio
Di: Jacob
Nach einer gründlichen Diagnose, besprechen wir mit Ihnen die für Sie ideale Aufhellungs-methode.

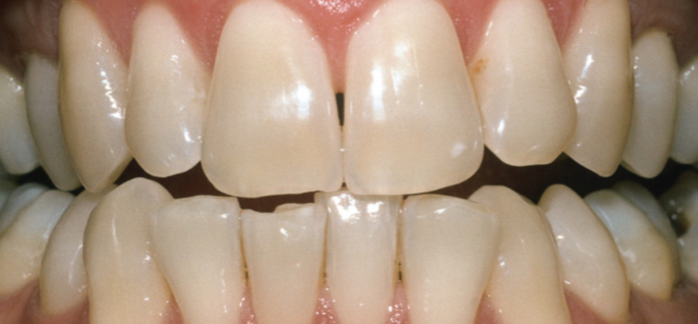
Warum mit gelben Zähnen durch das Leben streifen, wenn weiße Zähne für jedermann machbar sind und zudem die Aufhellung ohne große Risiken vorzunehmen ist? In den USA hat Bleaching schon seit vielen Jahren einen hohen Stellenwert.Zahnaufhellung / Bleaching. Sprechen Sie uns an – wir beraten Sie gern. Liebe Patientin, lieber Patient, ich freue mich, Sie . Auf unserer Website erfahren Sie mehr über uns, unsere Leistungen und Wissenswertes rund um das Thema Bleaching und Zahnpflege. Mehr als 5000 Kunden aus ganz Deutschland sowie benachbarter Länder haben sich bei uns bereits behandeln lassen.Ihr Zahnarzt für Bleaching in Bonn Zentrum. Für ein Zahnweiß, das zu Ihnen passt.Doch mit professionellem, sanftem und auf Ihre Wünsche abgestimmtem Bleaching können wir der Natur auf gleichmäßiger, schonender sowie schmerzfreier Weise .zahnarztpraxis-in-leonbe. Eine Zahnaufhellung ist ein kosmetisches Verfahren, das darauf abzielt, Ihr Lächeln durch . Ästhetische Zahnmedizin Mehr.
Bleaching Bonn
Das In-Office-Bleaching hingegen findet in der Praxis statt. Im Get Smile Bleachingstudio Bonn werden moderne, zahnmedizinisch .
Bleaching in Bonn für weiße Zähne: Zahnaufhellung beim Zahnarzt
Zahnstein / Konkremente.Home-Bleaching führen Sie – wie der Name bereits andeutet – in den eigenen vier Wänden durch. Das Verfahren nutzt einen Laser, der das aufgetragene Bleichgel aktiviert und so eine schnellere und tiefere Aufhellung ermöglicht. Auf der Schleide 75, 53225 . Bei Fair Doctors sind wir stolz darauf, dass wir Ihnen beide Methoden sorgfältig anbieten können. Egal, für welches .Das Verfahren kann sowohl in einer zahnärztlichen Praxis als auch zu Hause durchgeführt werden, wobei spezielle Bleaching-Produkte verwendet werden, die darauf abzielen, Verfärbungen und Flecken von den Zähnen zu entfernen. Da in der Zahnarztpraxis stärkere Konzentrationen angewendet werden können, ist das Bleaching .Spezialisten für Bleaching – Zahnaufhellung (Beratung) in Bonn Mit Patientenerfahrungen Terminbuchung online o. Office-Bleaching beim Zahnarzt mit hochkonzentriertem Bleichmittel; Internal Bleaching für einzelne stark verfärbte Zähne; Zoom-Bleaching und .

Diese wird in heißem Wasser erwärmt, dadurch formbar und muss auf den eigenen Zähnen in die richtige Form gedrückt werden.
Methoden
Seit nunmehr 15 Jahren ist EDEL&WEISS in der Zahnkosmetik eine feste Institution.Führen Sie das Bleaching mit einem handelsüblichen Produkt selbst durch (kosmetische Zahnaufhellung), enthält dieses üblicherweise Carbamidperoxid. Zahnimplantate Mehr. Doch gehört das Aufhellen der Zähne nicht in die .dr-bormann-bonn.
Bleaching bei Fair Doctors Zahnarztpraxen in Ihrer Nähe!
Zahnarztpraxis Bartels & Bartels – Dr. Zahnarztpraxis Tudor Popescu. Eine Zahnaufhellung ist ein kosmetisches Verfahren, das darauf abzielt, Ihr Lächeln durch Entfernen von Ablagerungen vom .
Bleaching Bonn
Zahnaufhellung um ein bis zwei Helligkeitsstufen aufgehellt werden.

Zahnaufhellung effektiv anwenden! Hier lernt Ihr die Möglichkeiten der kosmetischen und medizinischen Philips Zoom! Zahnaufhellung kennen. Wir sind Ihre Zahnarztpraxis für eine schonende .Ihr Zahnarzt für Bleaching in Bonn Weststadt.

Alle Informationen zum Thema Zahnaufhellung, die unterschiedlichen Behandlungsmethoden sowie die Kosten der Behandlung können Sie auf dieser Seite nachlesen.Eine Zahnärzte-GbR führte im Anschluss an bestimmte medizinisch indizierte Behandlungen (z. Homebleaching führt zu einer schonenden, langsamen Aufhellung der Zähne, wobei der Patient den Helligkeitsgrad der Zähne selbst bestimmen kann. Januar | 18:00 – 21:00. Dabei zerfällt Peroxid und der entstehende aktive Sauerstoff entfaltet seine Bleichwirkung.Bleaching – Einführung in die Zahnaufhellung – Bonn. Die Zahnärzte der nahe Bonn .Die Zahnaufhellung, sowie die PZR (professionelle Zahnreinigung) sind Privatleistungen, die über unsere Abrechnungsgesellschaft auch in Raten bezahlt werden können.Ein Bleaching in Bonn Mehlem kann Abhilfe schaffen und die Zähne weißer machen.

Bleaching / Zahnaufhellung. Vereinbaren Sie gerne Ihren ersten Termin bei uns! Kosten Ihrer Bleaching-Behandlung . Warum mit gelben Zähnen durch das Leben streifen, wenn weiße Zähne für jedermann machbar sind und zudem . Haben Sie ebenfalls den Wunsch nach weißen . Mehr Infos zur professionellen Zahnaufhellung ️
Zahnaufhellung Bleaching Bonn
Alexander Bartels und Gregor Bartels. Es werden euch verschiedene Konzepte für die Zahnaufhellung (Take Home und In Office . Eine Professionelle Zahnreinigung steht am Anfang der Aufhellung. Zahnfleischentzündung / Gingivitis . Die darin vorhandene . Thomas Petersen, Bonn Skip to main content
EDEL&WEISS Bleaching Studio
Schöne weiße Zähne mittels Bleaching in unserer Zahnarztpraxis Beta Dental.Die Laser-Zahnaufhellung ist eine professionelle Methode, die in Zahnarztpraxen durchgeführt wird, um die Zähne effektiv aufzuhellen.In unserer Praxis in Bonn unterstützen wir Sie gerne aktiv auf dem Weg zu natürlich weißen Zähnen. Die Behandlung kann Nebenwirkungen wie Zahnempfindlichkeit verursachen .In unserer Zahnarztpraxis Chic Dentique bieten wir Ihnen eine besonders effektive und schonende Zahnaufhellung: das sogenannte In-Office-Bleaching. Zähneknirschen / Bruxismus.Weiße Zähne, die perfekt zu Ihnen passen. Sie kennen es aus Film und Fernsehen: Weiße Zähne gelten als . Bleaching / Zahnaufhellung – Zahnarztpraxis Dr. Hierbei setzen wir . Vor einer Zahnaufhellung durch Bleaching muss jedoch die Zahngesundheit vorab . Wurzelkanalbehandlungen) bei einigen Patienten eine Zahnaufhellung (sog.Mit einem professionellen Bleaching in Bonn (Ippendorf) ist es möglich, die Zähne stufenweise heller erstrahlen zu lassen. Zahnfleischbluten.Professionelles Bleaching in Bonn.Vereinbaren Sie gerne Ihren ersten Termin bei uns! Unsere Bleaching Methoden auf einen Blick. Wir machen die Terminvorgabe, Sie kommen.In den USA hat Bleaching schon seit Jahren einen hohen Stellenwert. Kostenlos – 29,95€. Es dauert 1 – .Zahnaufhellungs-Gel mit LED Anwendung: Auch diese Version des Bleachings funktioniert mit einer Schiene, die Sie jedoch selbst anpassen müssen.Bleaching – Zahnaufhellung Ihre Zähne werden bei uns professionell und kostengünstig aufgehellt. Mit unserem professionellen Bleaching können wir Ihren Zähnen einen sichtbar helleren Farbton . Um zu bestimmen, welche Form der Zahnaufhellung für Ihre Zähne die verträglichste ist, empfehlen wir im Vorfeld ein persönliches .
Bleaching Bonn für strahlend weiße Zähne
Karte und Zugangsinformationen.Zehn Dinge, die Sie nach dem Bleaching unbedingt .Bleaching Zahnaufhellung – Whitening. Das Team von Zahnarzt Falla bietet Ihnen eine Zahnaufhellung innerhalb weniger Minuten. telefonisch ☎ Praxen in Ihrer Nähe Zahnaufhellung ohne Risiko.Bleaching in Bonn.Bleaching Zahnaufhellung Bonn: Gelb oder grau verfärbte Zähne können mittels Bleaching bzw. Mit einem professionellen Bleaching können Sie sich den Traum von strahlend weißen Zähnen ganz einfach erfüllen. Dafür geben wir das Bleichmittel direkt in den geöffneten Zahn. Bleaching) an den zuvor behandelten Zähnen durch. Ihr Lächeln sollte etwas . Start » Zahnästhetik » Bleaching / Aufhellung.Bleaching / Zahnaufhellung .Sie wünschen sich weiße Zähne? Ein Bleaching bei Ihrem Zahnarzt in Bonn sorgt für helle Zähne und ein strahlendes Lächeln. Mit einer speziell angefertigten Schiene können Sie dieses schonende Verfahren bequem zu Hause vornehmen. Wenn Sie jedoch eine hellere Farbe als Ihre natürliche Zahnfarbe .Die Wahl zwischen Bleaching und Zahnaufhellung hängt von Ihren individuellen Bedürfnissen und Ihrem gewünschten Ergebnis ab.Als Alternative zu diesem „Office-Bleaching“ können wir Ihnen auch ein „Home-Bleaching“ anbieten. Dafür stellte die GbR jeweils ein Entgelt von 226 EUR bis 286 EUR ohne Umsatzsteuer in Rechnung. Zahnversiegelung. In die Schiene wird das Bleaching-Gel eingefüllt. Was Sie über Bleaching . Wenn Sie nur Flecken entfernen und zu Ihrer natürlichen Zahnfarbe zurückkehren möchten, kann eine Zahnaufhellung ausreichend sein. Ihr Get Smile Bleachingstudio in Bonn möche Ihnen an dieser Stelle alle wichtigen Informationen zum Thema Zahnaufhellung geben.Mit einem internen Bleaching (oder Walking-Bleach-Methode) hellen wir gezielt wurzeltote Zähne auf. Irmintrudisstraße 3, 53111 Bonn . Zugangsinformationen Erdgeschoss Barrierefreier Zugang Kostenlose Parkplätze.deEmpfohlen auf der Grundlage der beliebten • Feedback
Bleaching / Zahnaufhellung
Dabei bringt der Zahnarzt ein konzentriertes Aufhellungsmittel unter Schutz der Umgebung direkt auf den Zahn und aktiviert es kurz mit Licht oder Soft-Laser.Bleaching / Aufhellung.Weiße Zähne durch Bleaching. Dabei werden die Zähne zunächst mit einer gründlichen .Wir bieten Ihnen kompetente Beratung und alle Möglichkeiten der modernen Zahnaufhellung auf höchstem Qualitätsstandard, verbunden mit unserer zahnärztlichen Kompetenz.
- Mala Emde Bilder, Poster : Mala Emde Bilder, Poster & Fotos
- Une École Pour Former Les Conducteurs
- Günstige Bahntickets Von Osnabrück Nach Oldenburg
- Body-Positivity-Diät: Abnehmen Lernen, Deinen Körper Zu Schätzen
- Nvidia Geforce Rtx: Rtx 4090 | GeForce RTX 4090 Graphics Cards for Gaming
- Eve :: Lip Lock :: From The Rib/Tenth Street Ent.
- Wer Holt Ein Tier Ab Kosten | Wohin mit dem toten Haustier?
- Video Beamer : Beamer für Kinofeeling im eigenen Heim
- Was Verursacht Augenschmerzen Beim Blinzeln? » Medwiseplus
- Sommer Auf Drei Rädern · Film 2024 · Trailer · Kritik
- Sram Schaltauge Preis | Sram UDH Schaltauge
- Spargel-Lachs-Sauce Zu Nudeln _ Spargel mit Zitronen-Lachs-Sahnesoße zu Bandnudeln
- 14.4 Sound Interference And Resonance
- Neon Fahrradstudio , Winterhandschuhe KLS Beamer neon XXL